Case Study Details
Porcelain Crown and Porcelain Veneer Therapy
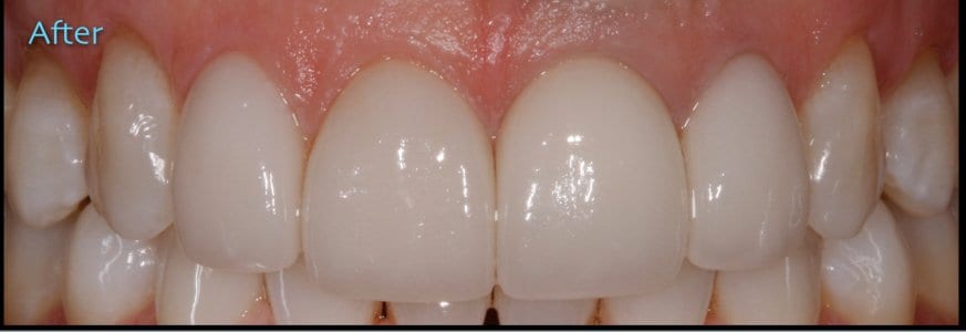
Discolored Root Canal – Treated Upper Central Incisor
Asymmetrical Upper Central Incisors and Undersized Upper Lateral Incisor








Case Study Details
Discolored Root Canal – Treated Upper Central Incisor
Asymmetrical Upper Central Incisors and Undersized Upper Lateral Incisor
DenteVita Prosthodontics and the Practice of Dr. Aldo Leopardi specialize in aesthetic, implant, fixed and removable dentistry. We emphasize patient comfort and quality results in a confident atmosphere. Dr. Leopardi’s patients are assured their image is in good hands right from the first impression.