Dental Implants
Partial Tooth Replacement
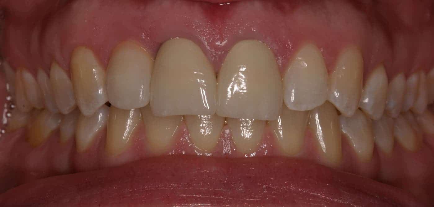
(Immediate Dental Implant Placement; Implant Crown)
Before: Patient presented with congenitally missing upper lateral incisors and teeth misalignment. Orthodontic therapy was performed to reposition the upper and lower teeth into more ideal locations, and also provide space between existing teeth/roots for implant tooth replacement therapy in the upper missing lateral incisor sites.

After: Dental implants were placed and then restored with functional and aesthetics restorations.





Before and After Case Studies for Partial Tooth Replacement:
