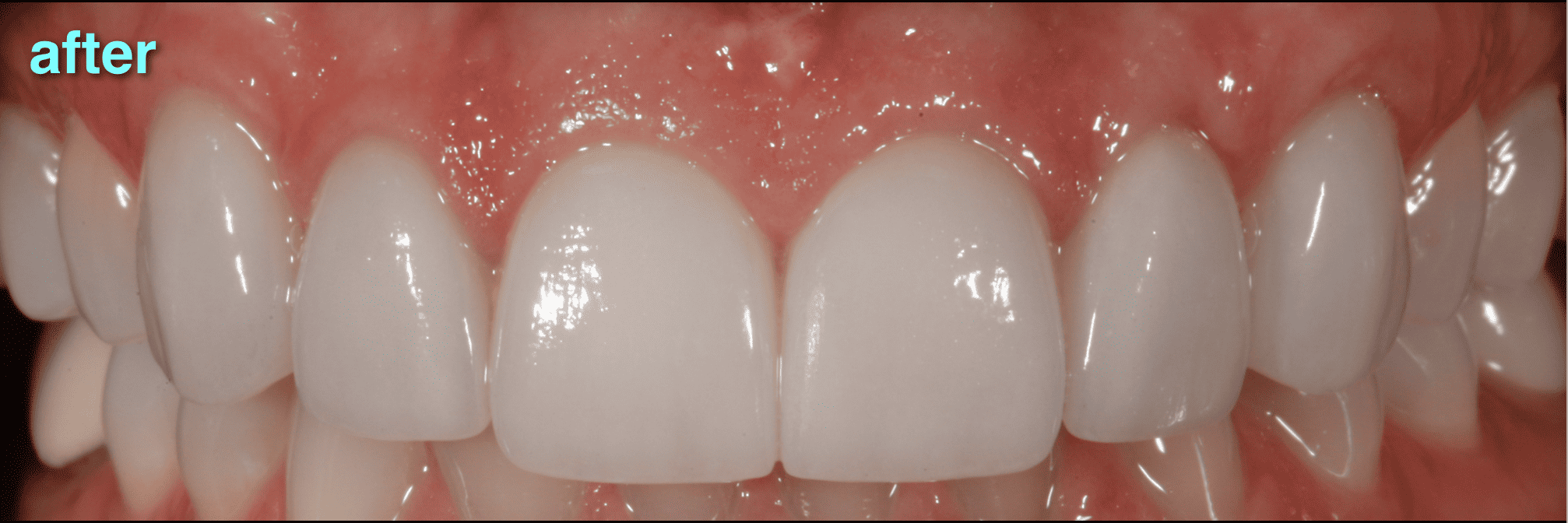
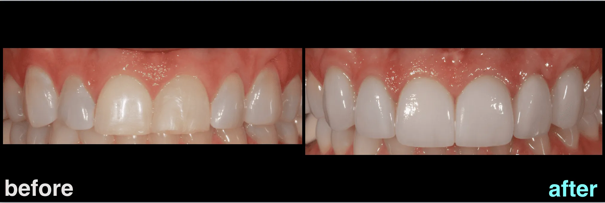
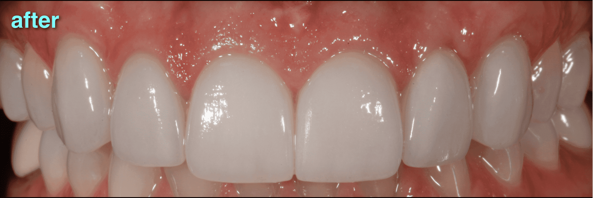
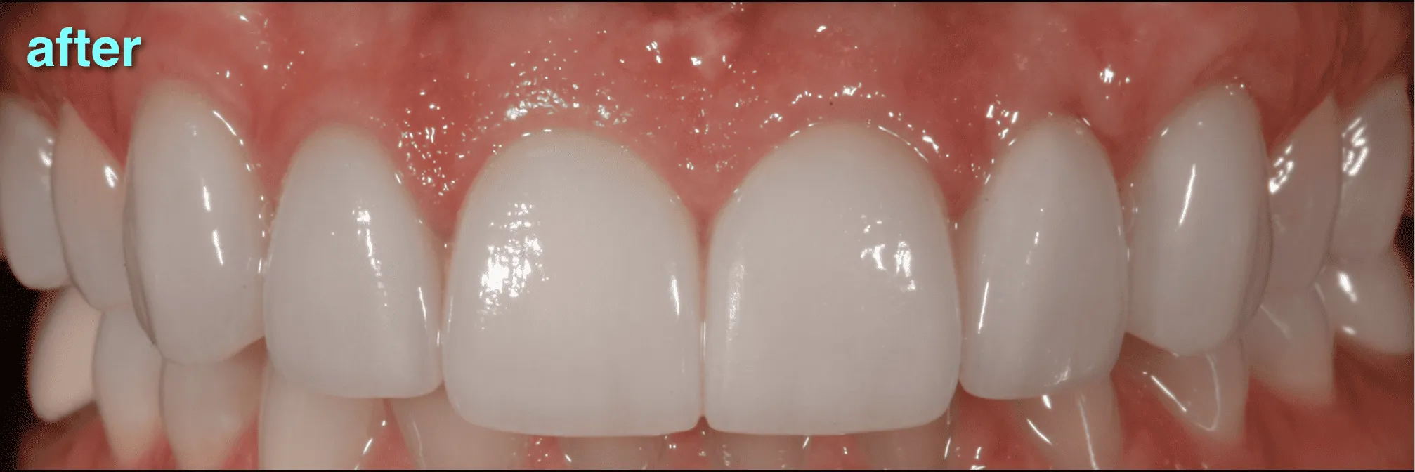
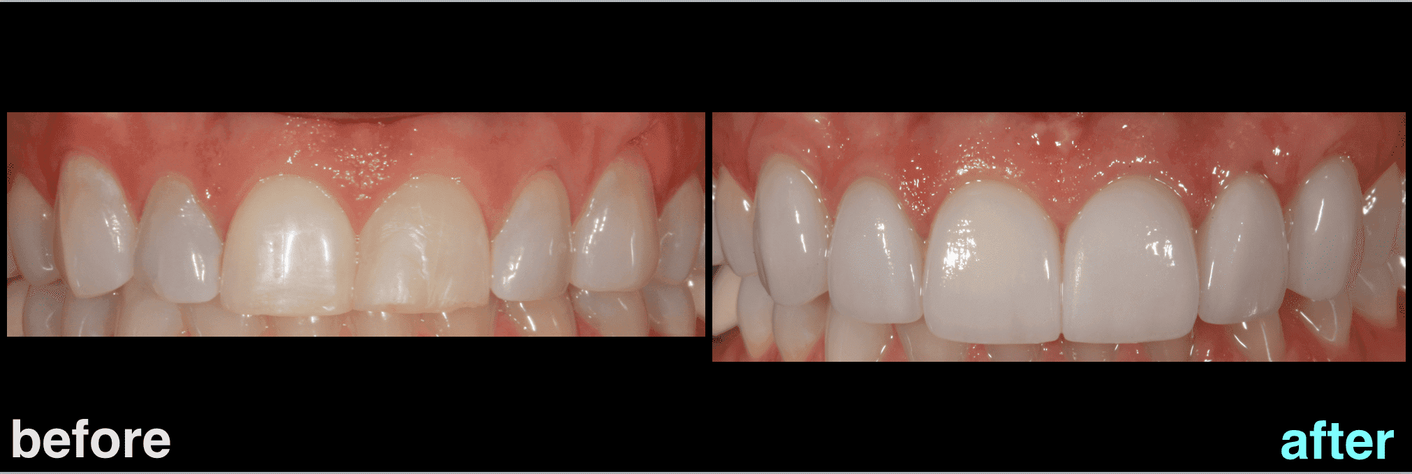
Case Study: Veneers for Discolored, Worn and Irregular Teeth

Case Study Details

About Dentevita Prosthodontics

DenteVita Prosthodontics and the Practice of Dr. Aldo Leopardi specialize in aesthetic, implant, fixed and removable dentistry. We emphasize patient comfort and quality results in a confident atmosphere. Dr. Leopardi’s patients are assured their image is in good hands right from the first impression.