Case Study Details
Porcelain Laminate Veneers; Ceramic Crown-Bonded
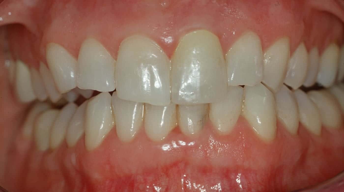
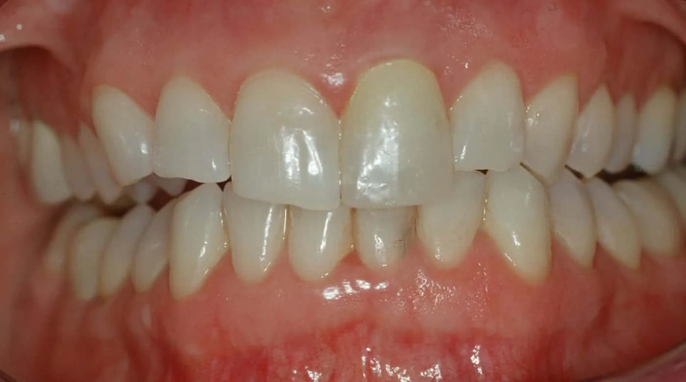
Before:Â Teeth in need of restoration
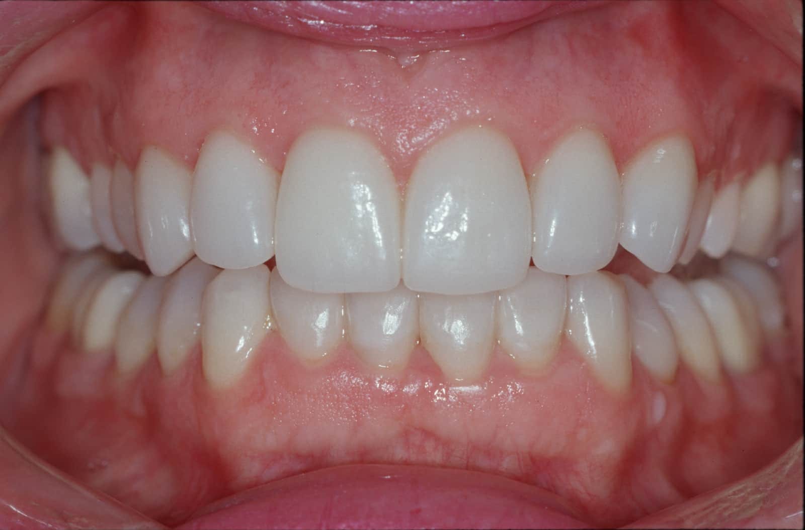
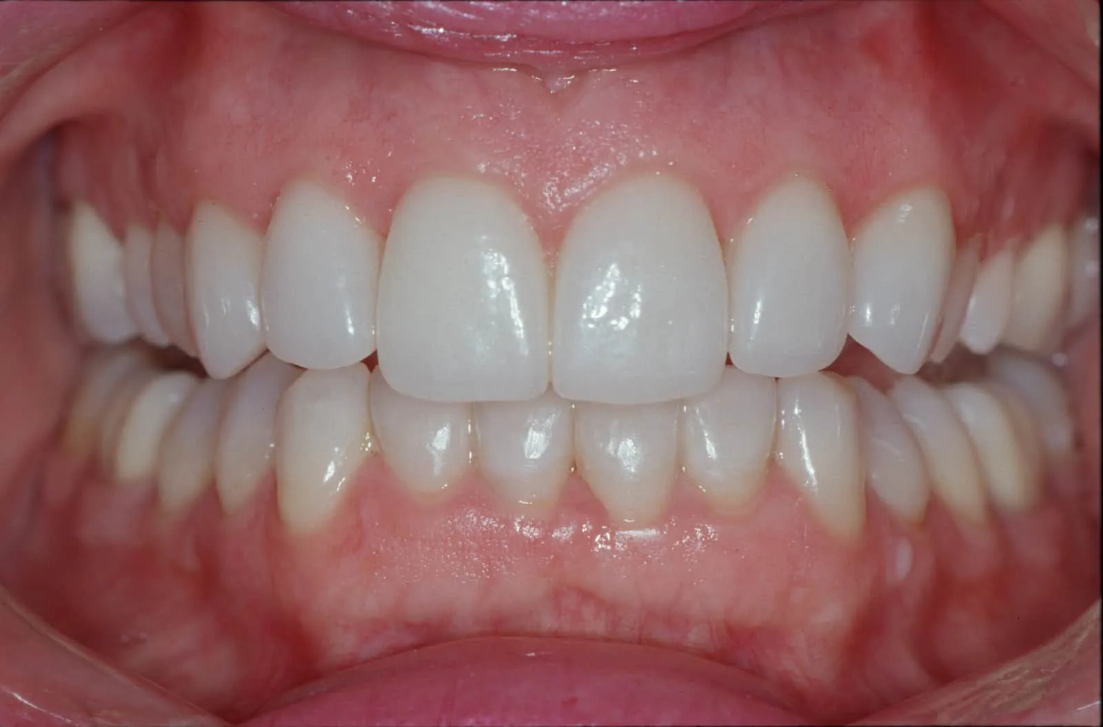
After: Appearance has been restored, with completed porcelain veneers for upper front five teeth and a porcelain crown for the upper left central incisor.
Patient enjoys an improved smile, boosting confidence and self-esteem.



