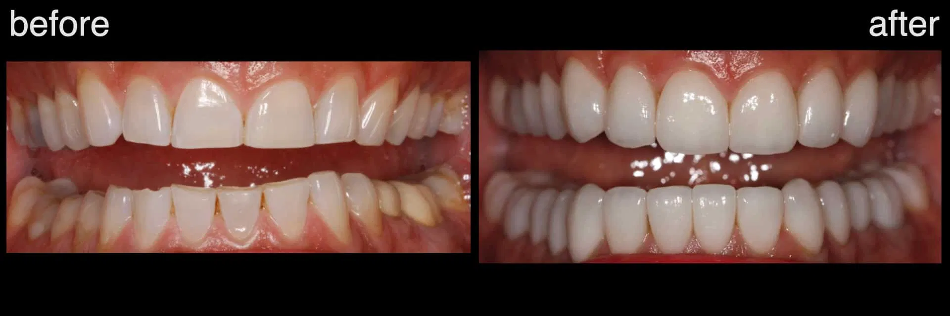
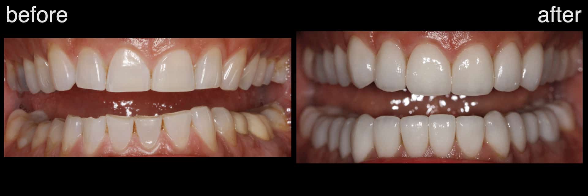
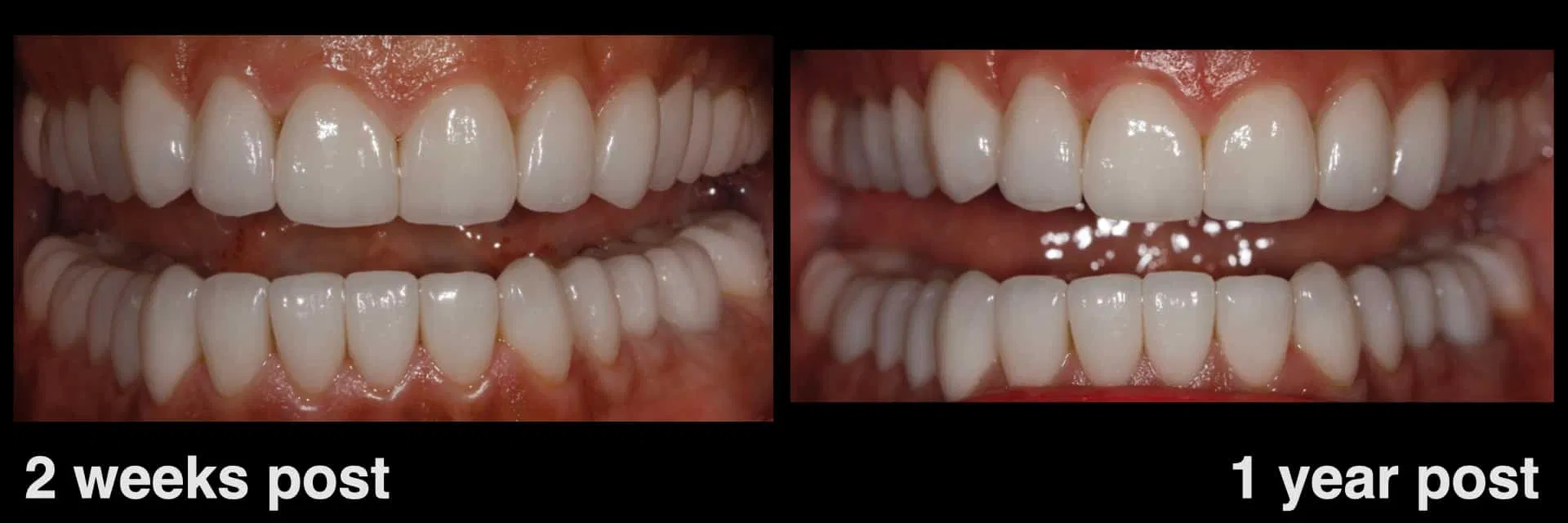
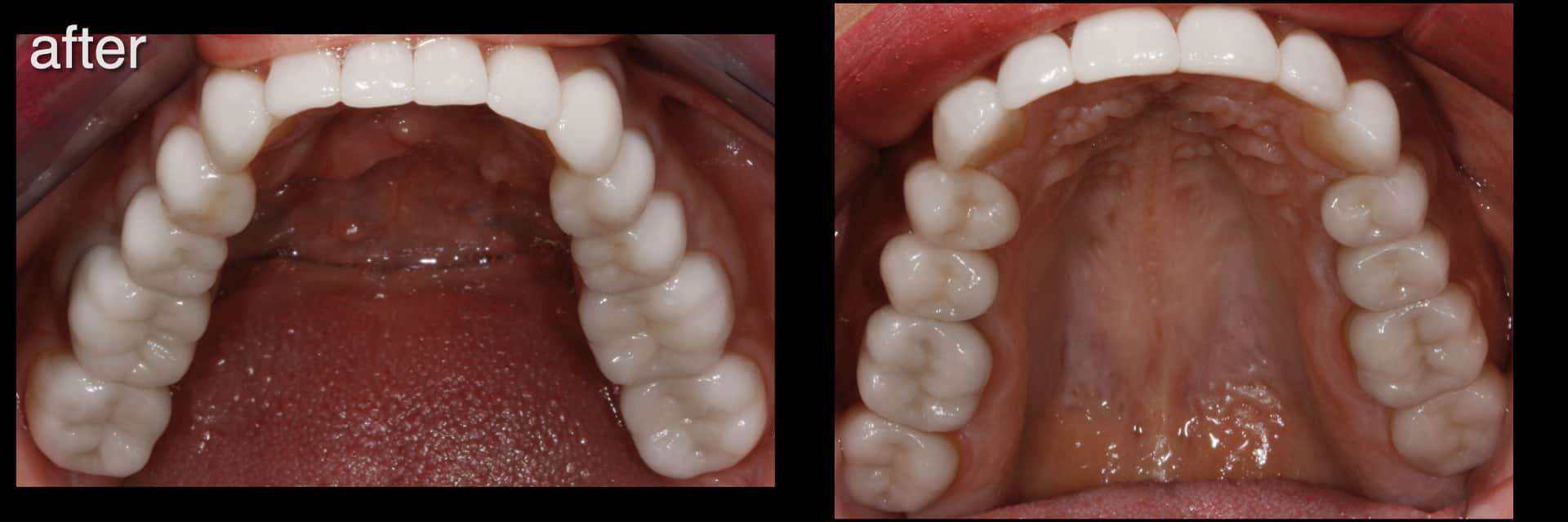
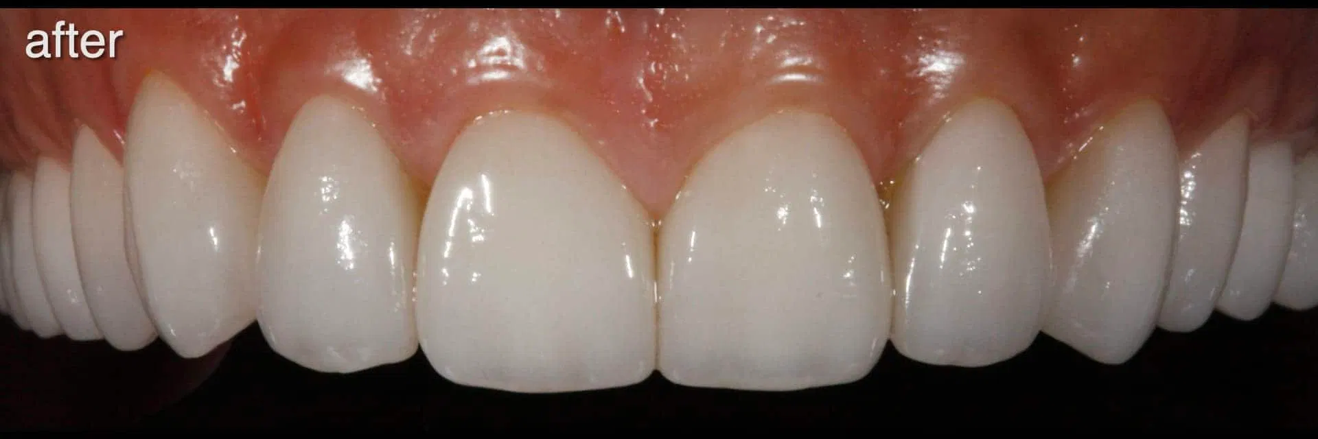
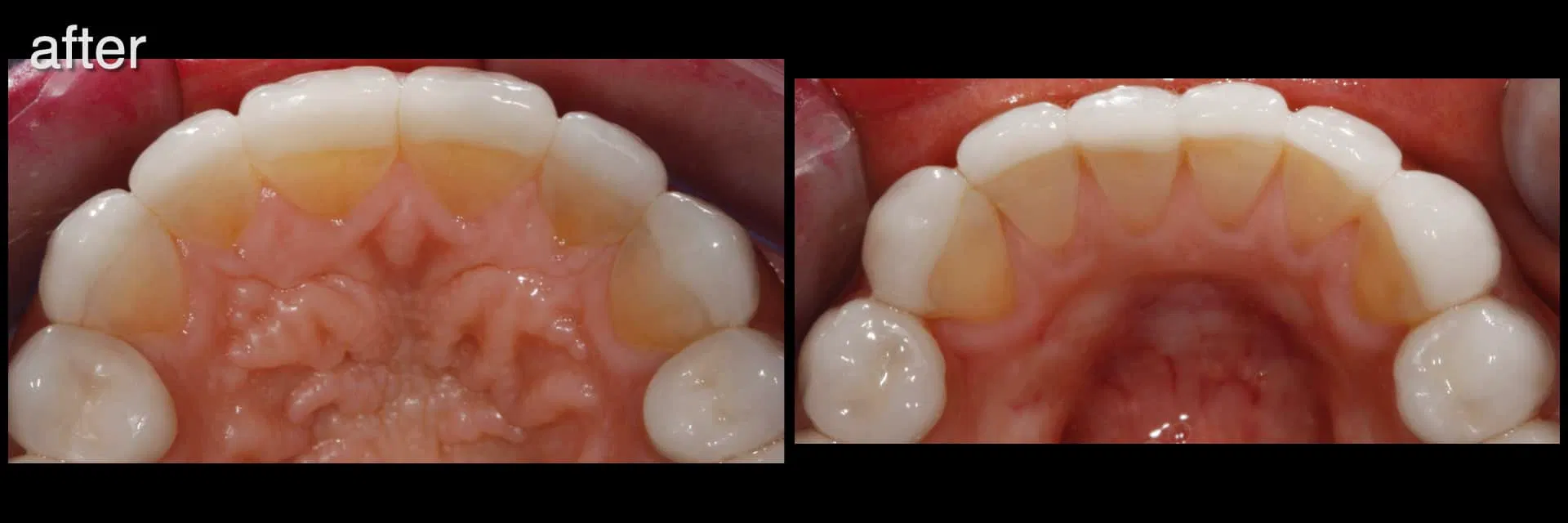
Case Study Details
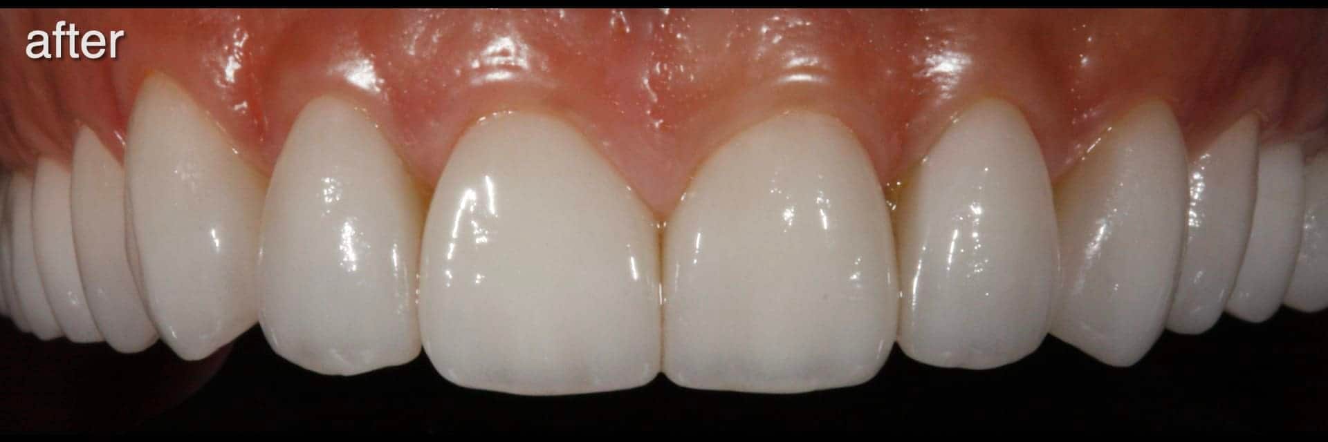
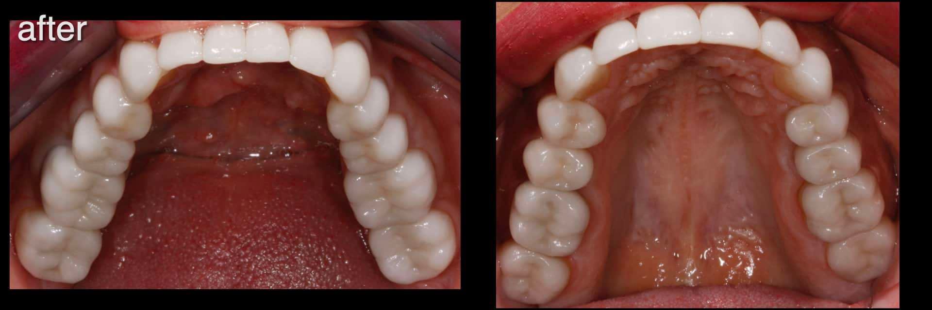
(Full Mouth Reconstruction; Increased Vertical Dimension; Porcelain Laminate Veneers; Ceramic Crowns-bonded; No Metal Dentistry)
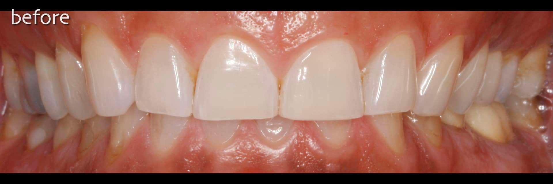
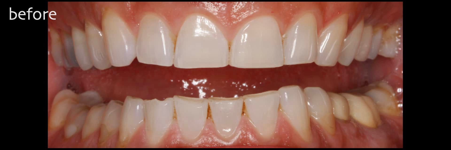
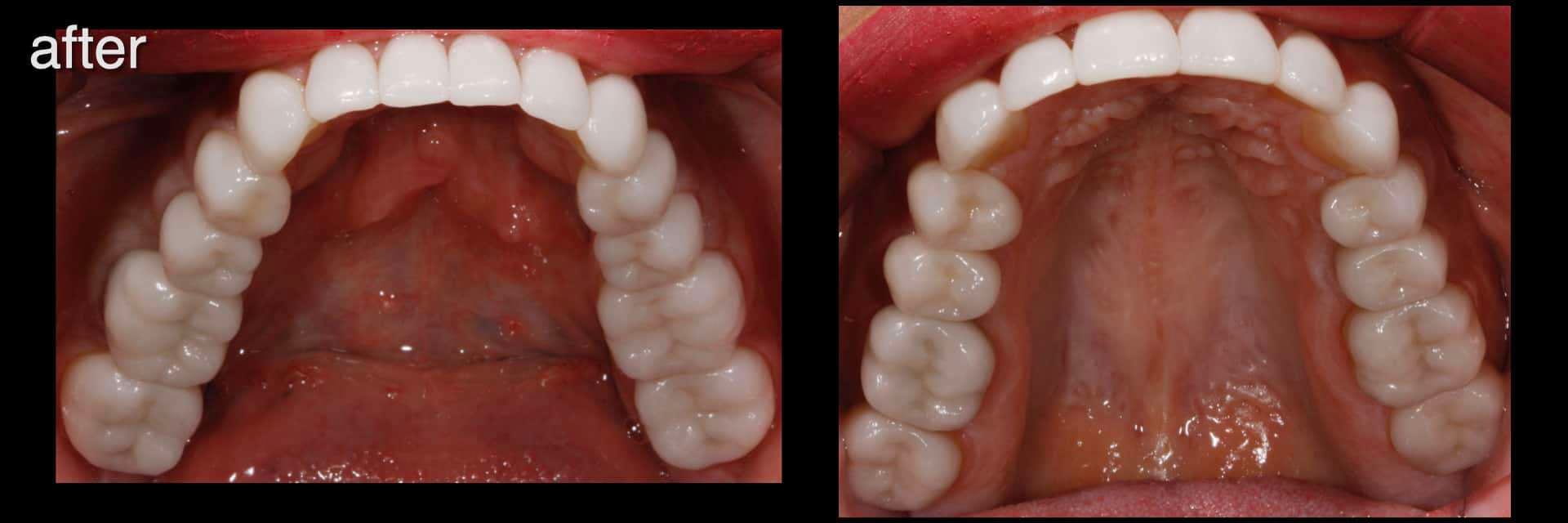
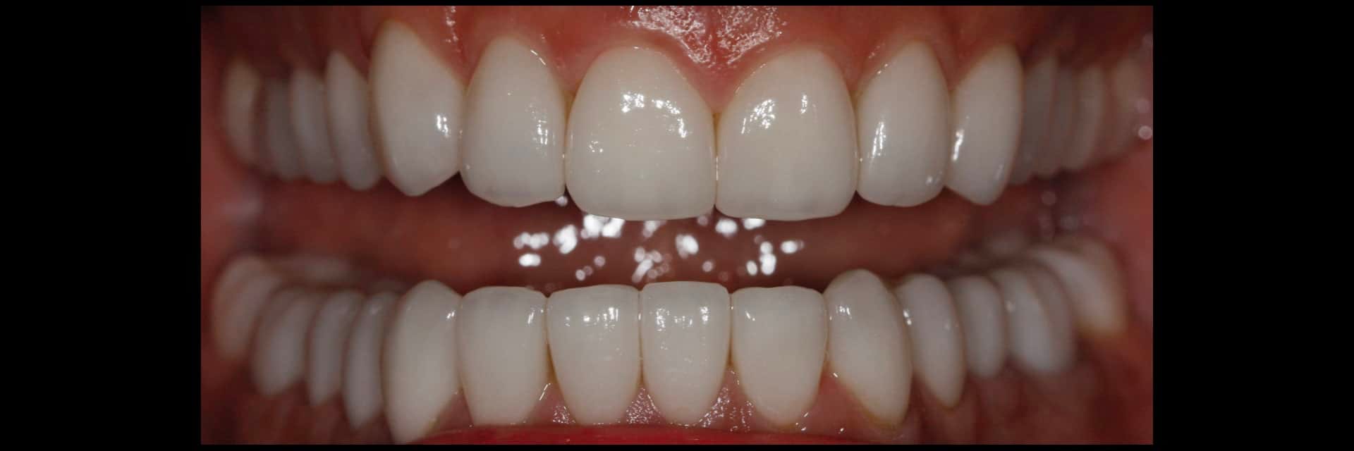
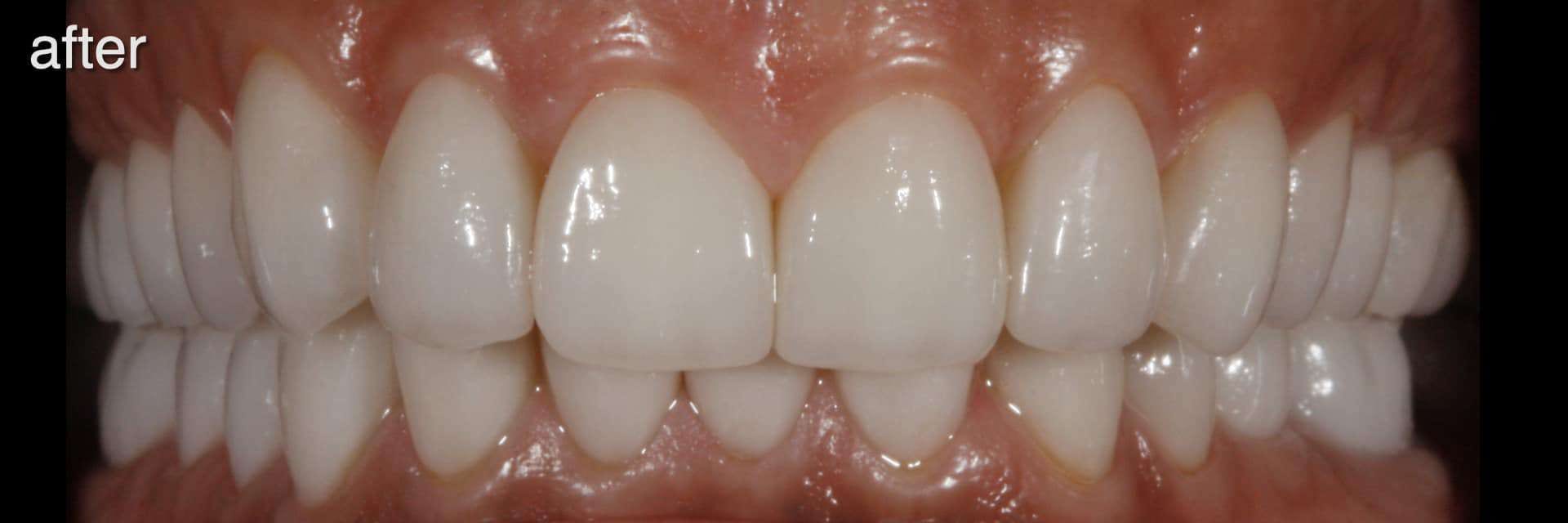
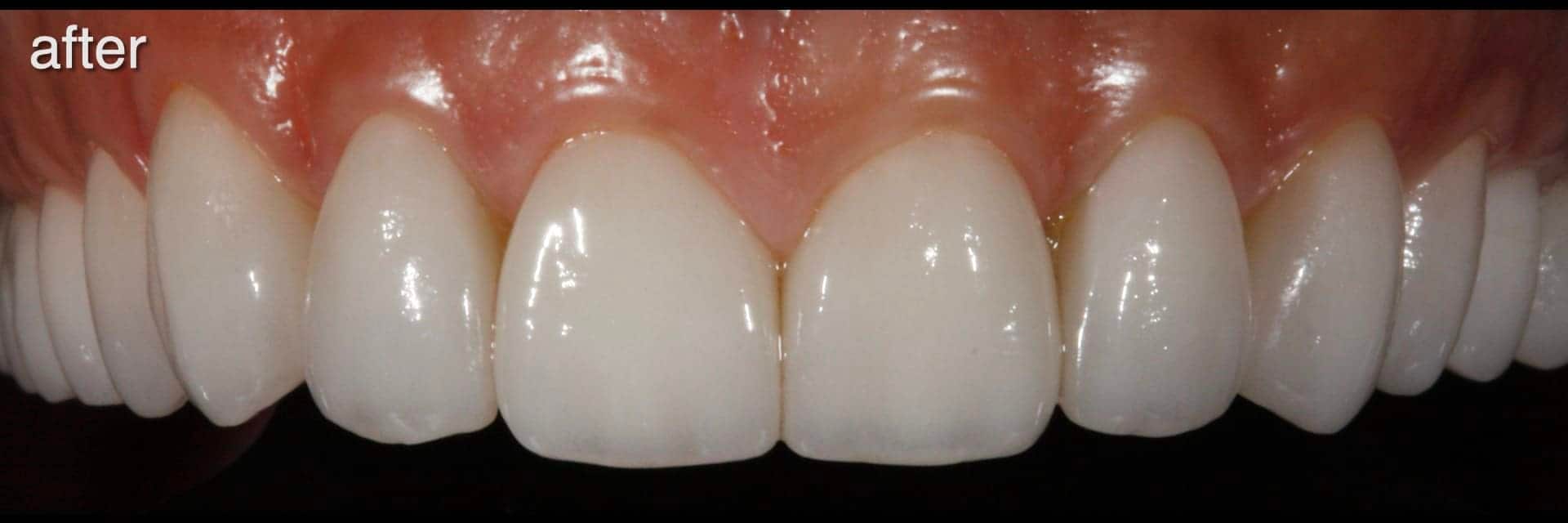
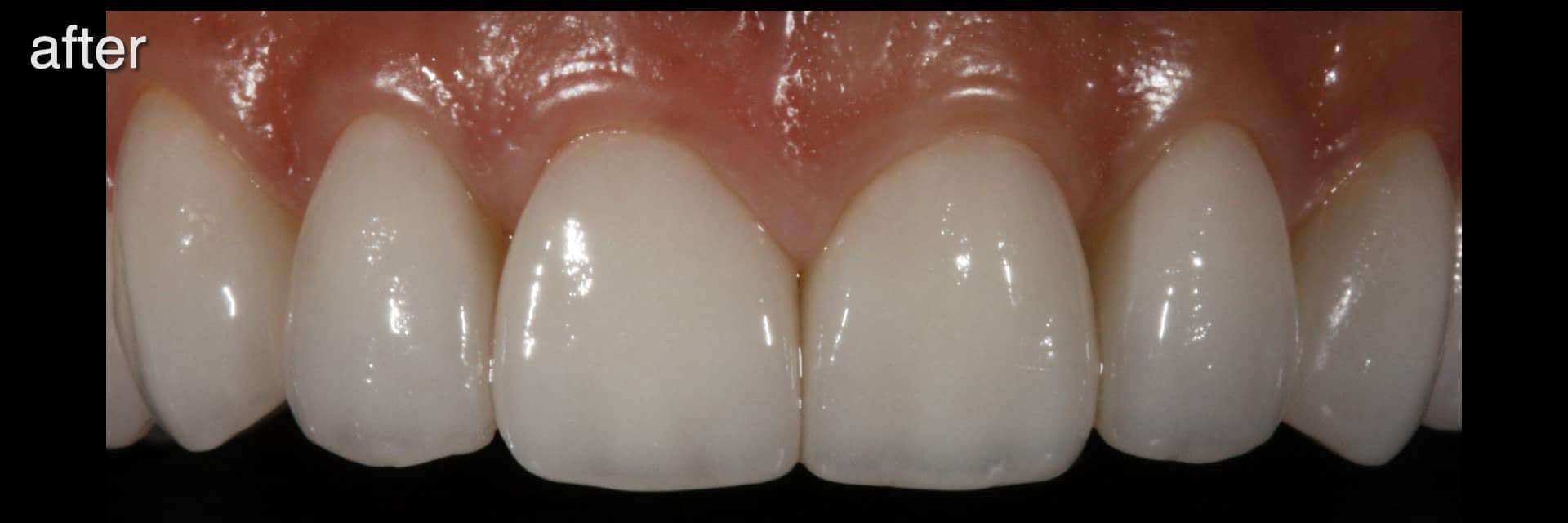
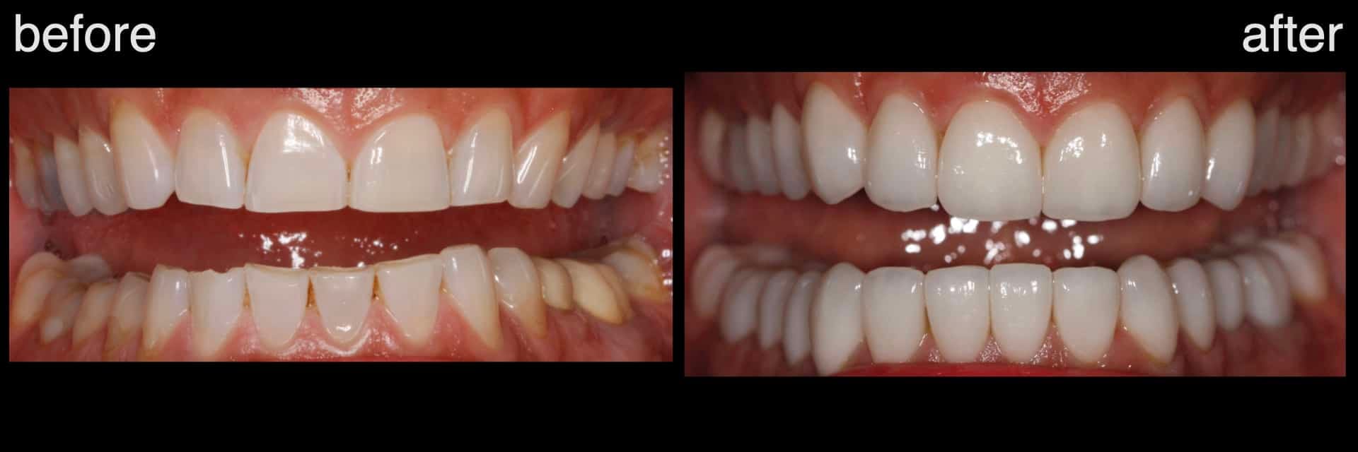
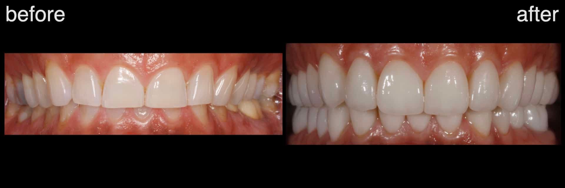
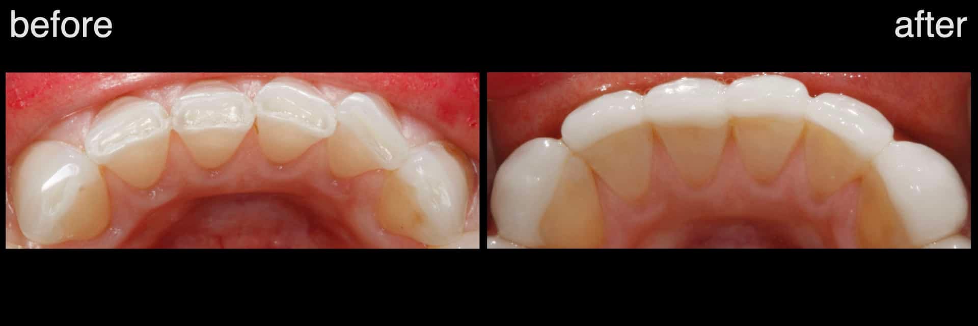
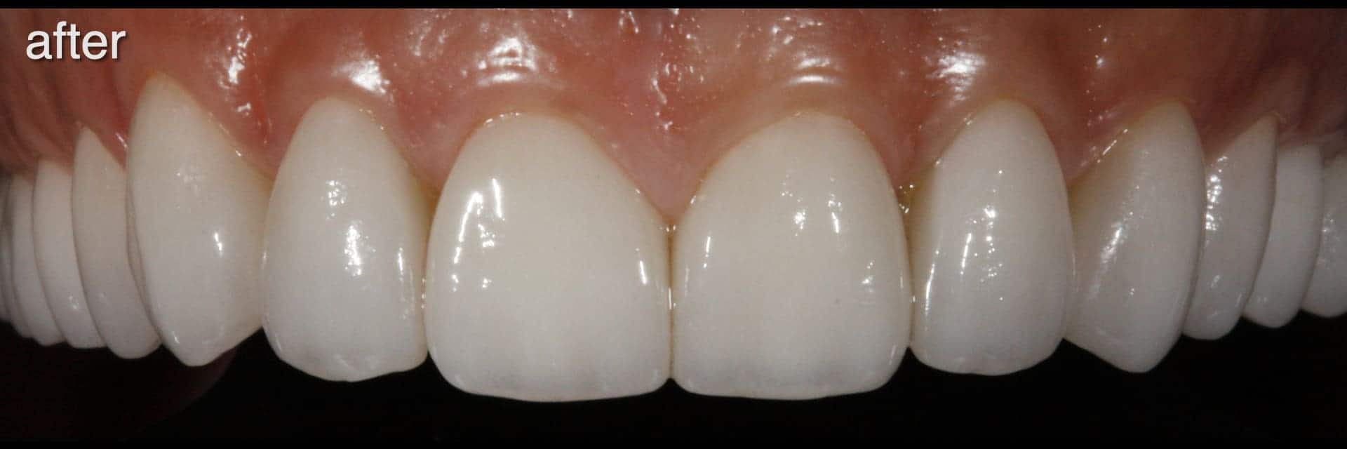
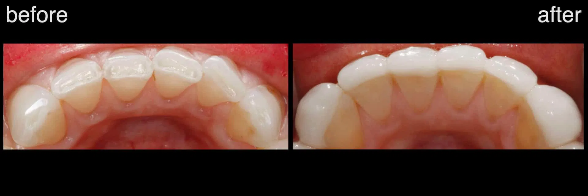
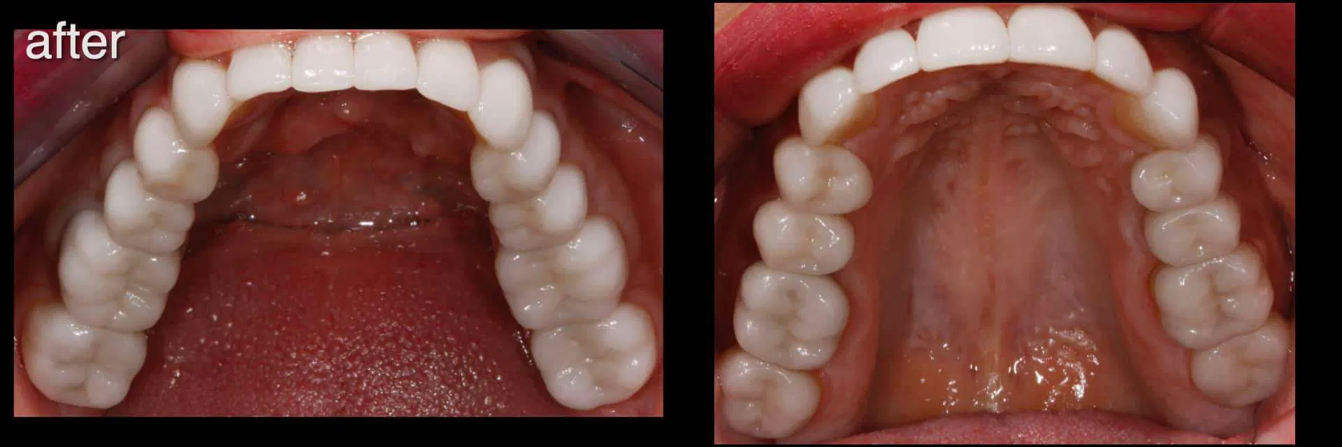
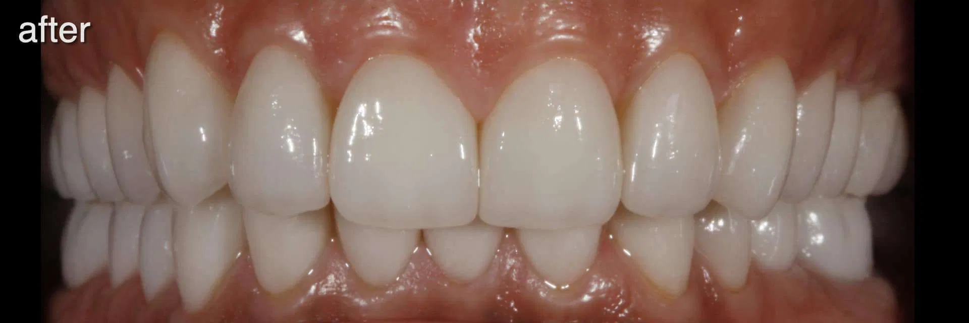
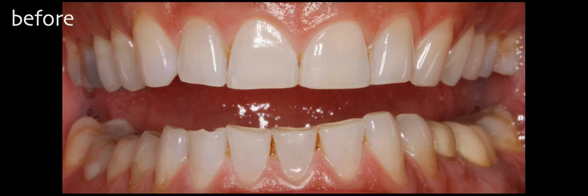
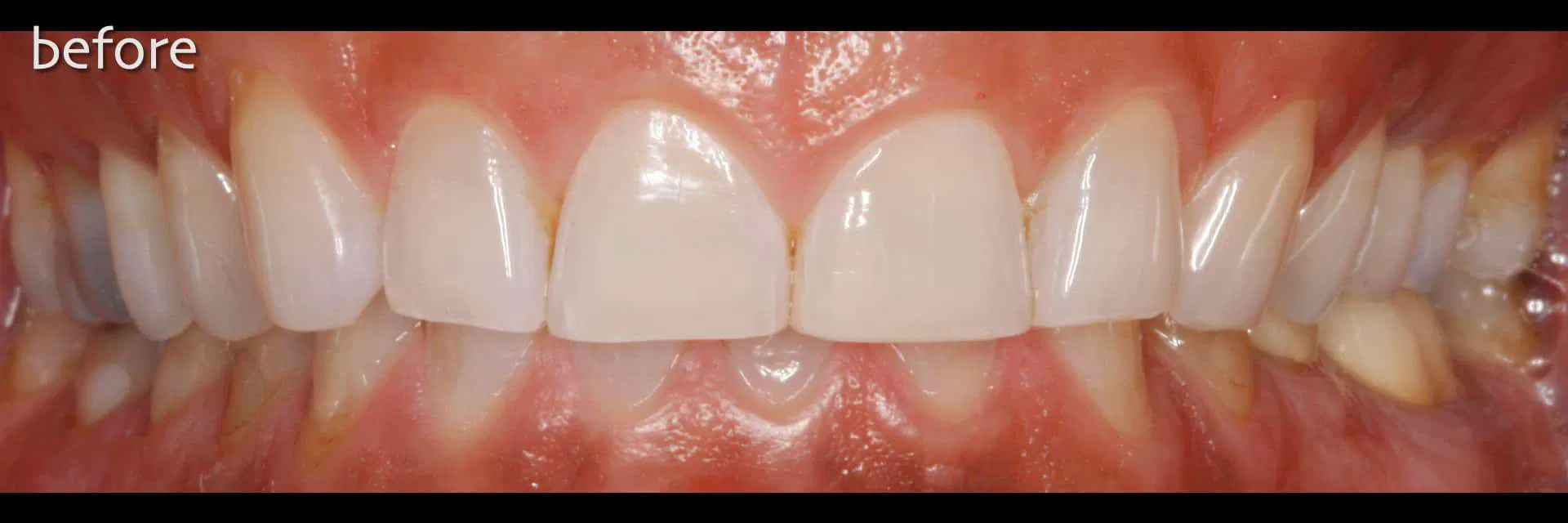
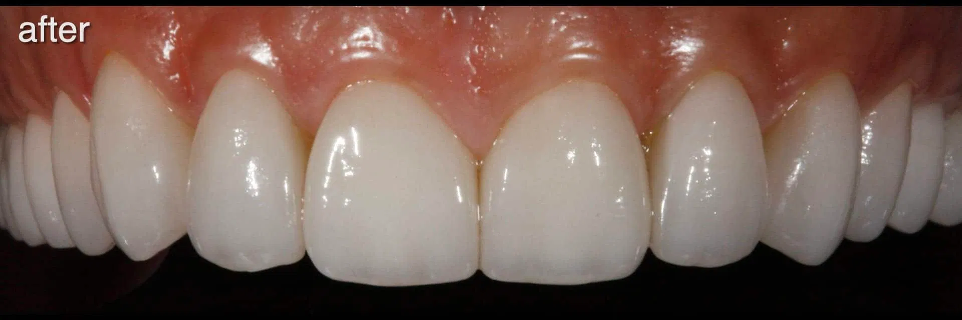
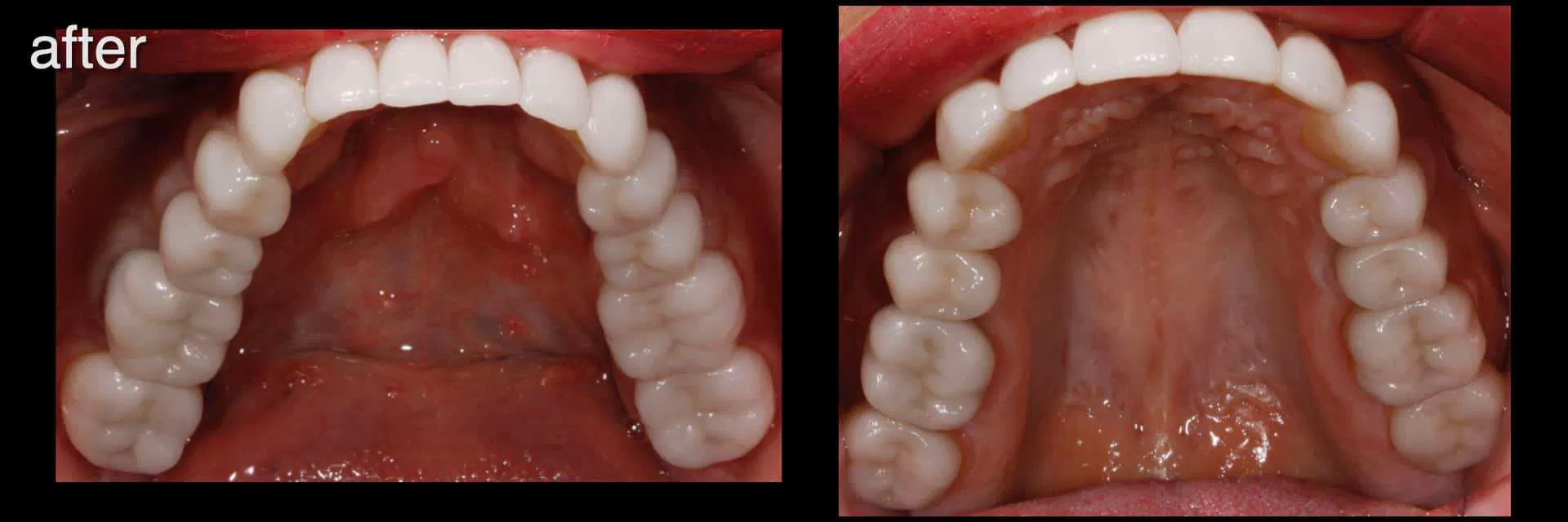
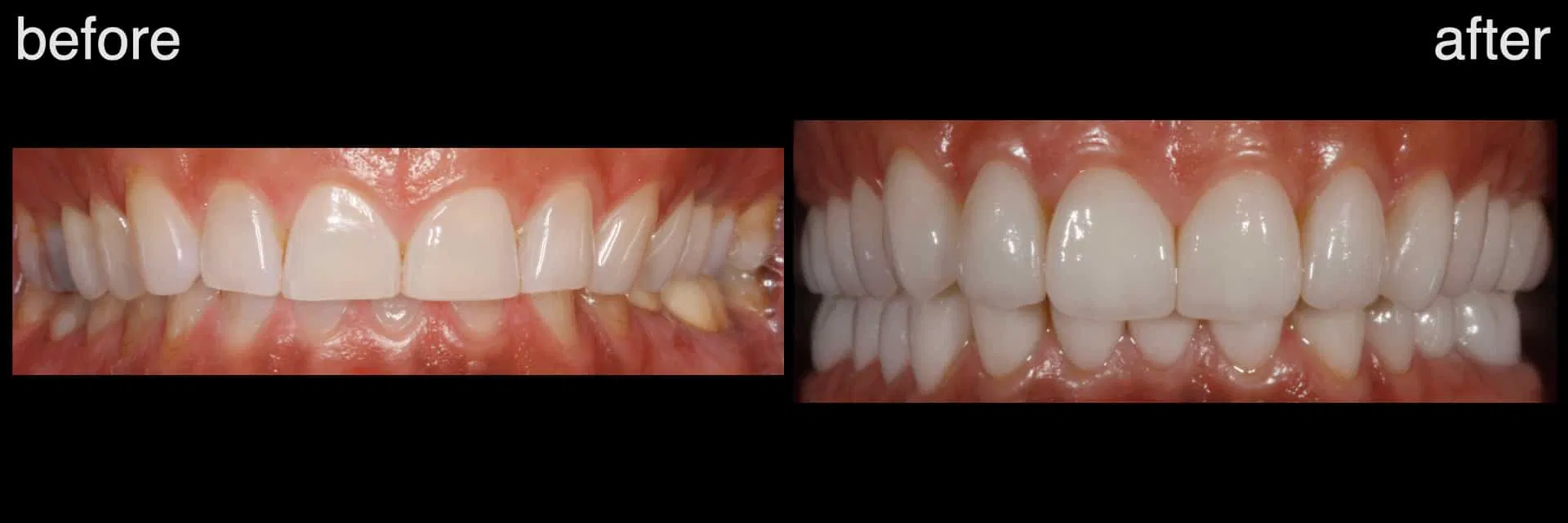
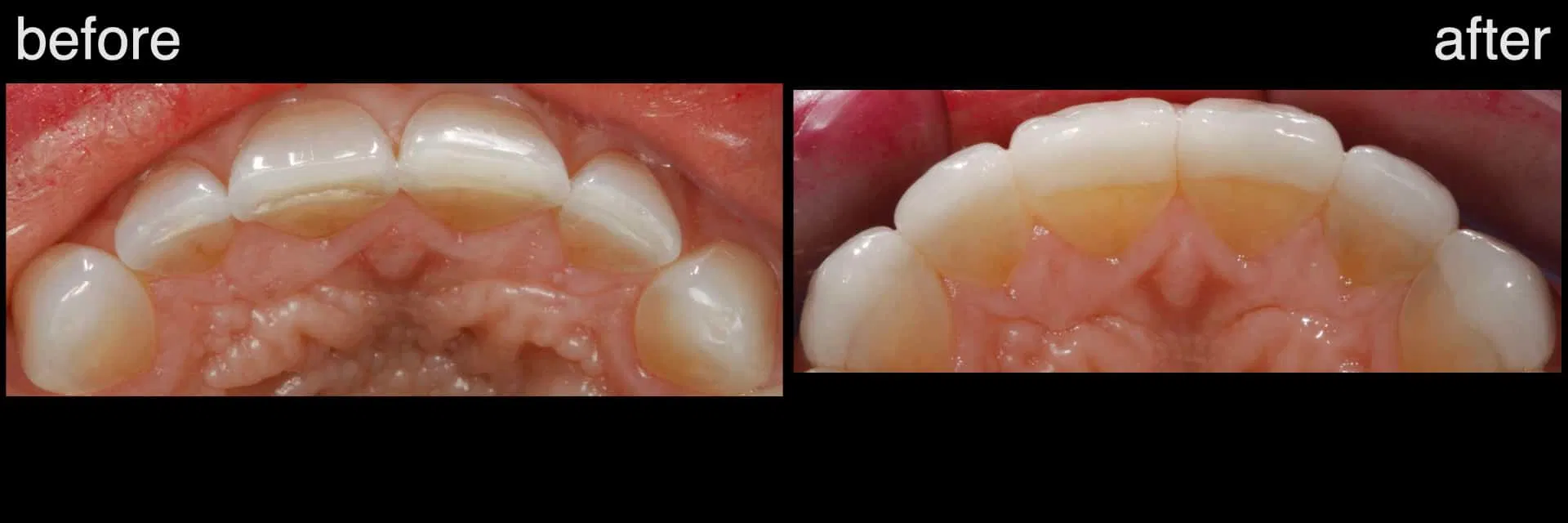
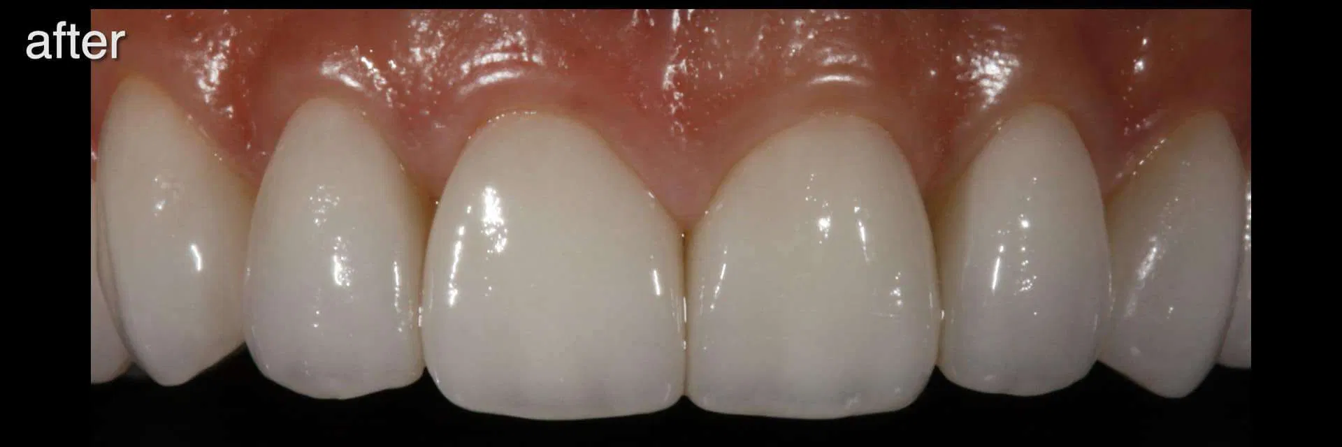
Conservative full mouth restoration/rehabilitation of the severely worn dentition, with bonded partial anterior (conservative porcelain laminate veneer therapy) and partial (posterior conservative porcelain 3/4 onlays) and/or full coverage (conservative 360 degree porcelain and full coverage porcelain restorations) posterior all ceramic restorations.
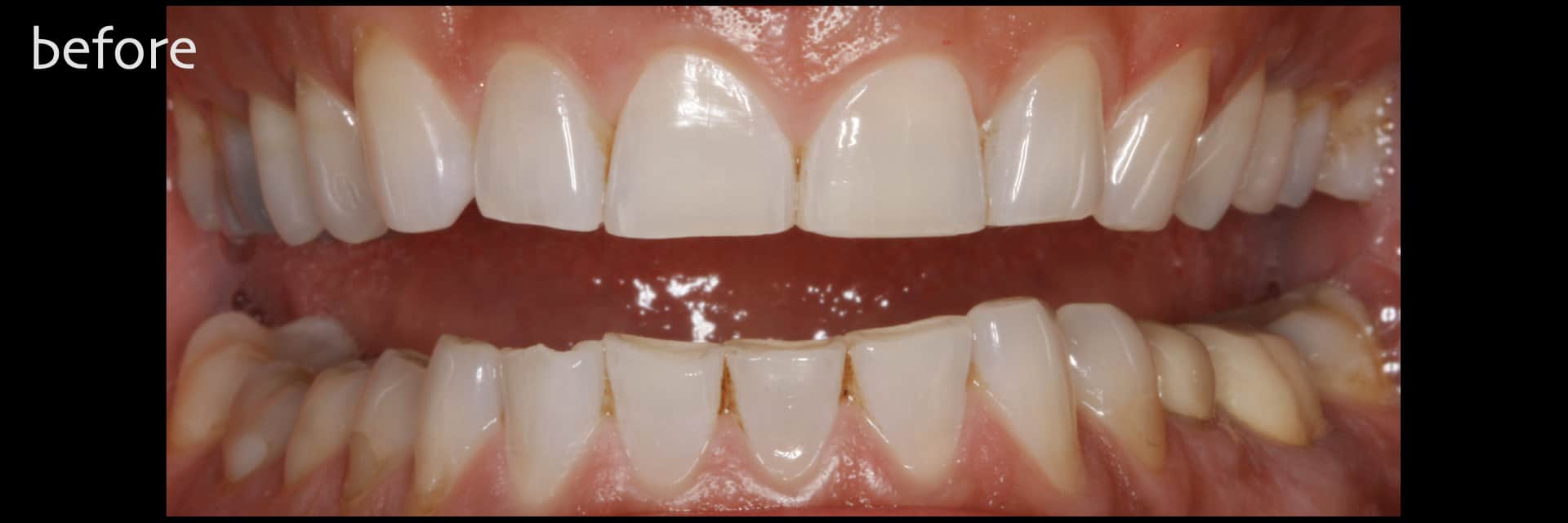
Clinical Findings: Severe attrition/wear and erosion. Lost intra-oral occlusal vertical dimension. Short clinical crowns. Deteriorating existing restorations. Poor Aesthetics. Malocclusion.
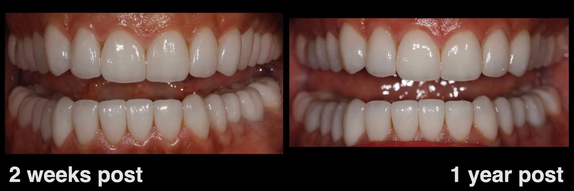
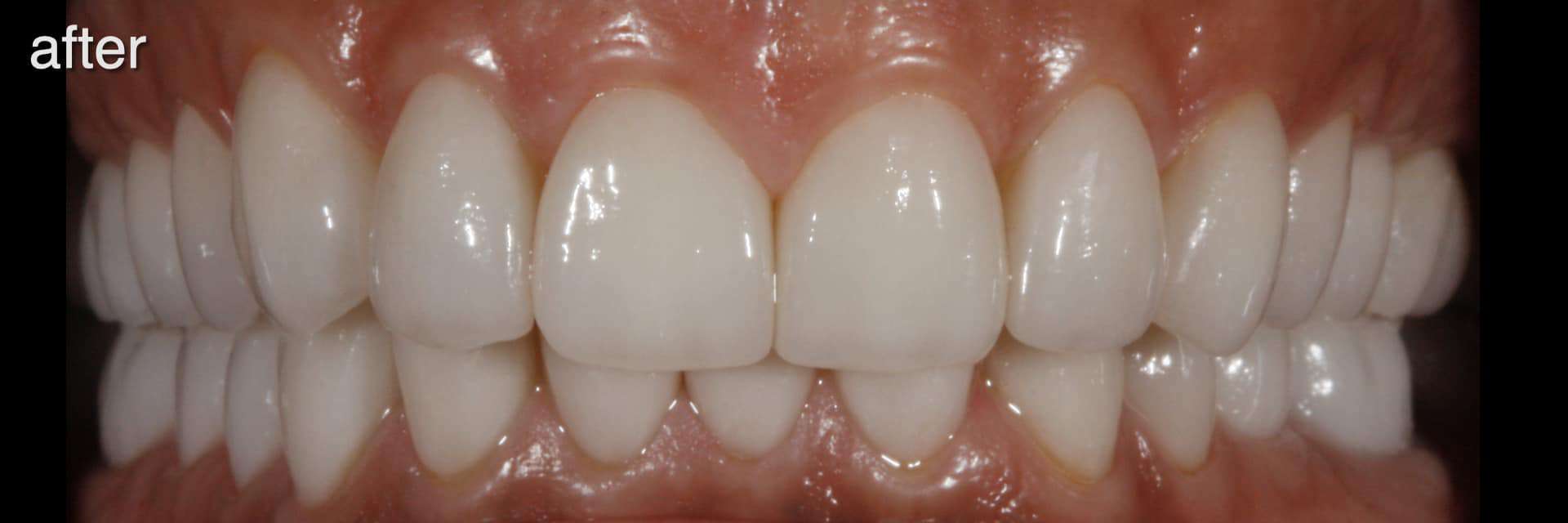
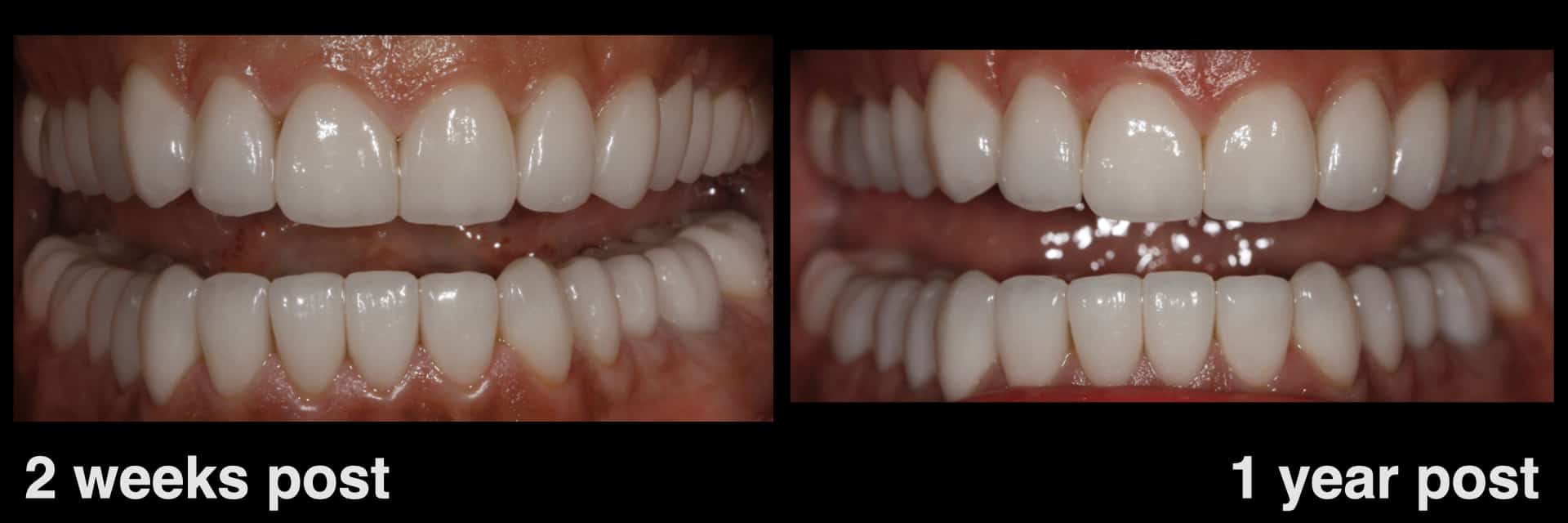
Outcome: Enhanced dental occlusion/bite. Restored teeth dimensions and aesthetics.





















