Conservative Tooth Replacement in Lieu of Implant Therapy

Case Study Details

Maryland Bridge Therapy (Resin Retained Bridge/Fixed Partial Denture)

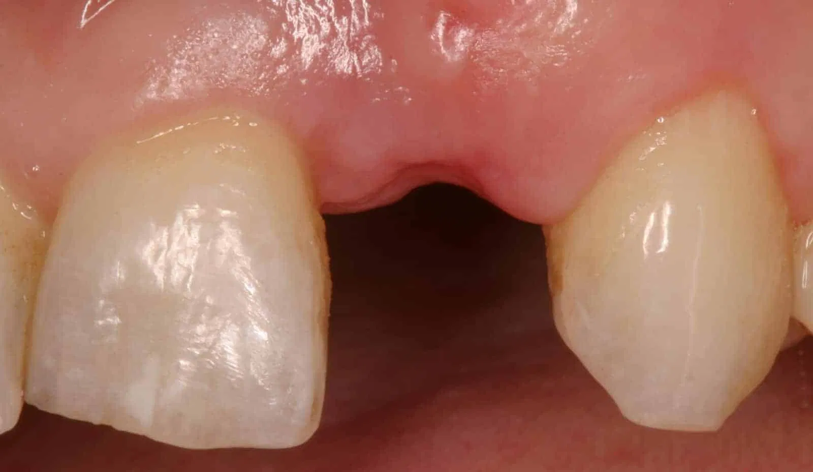
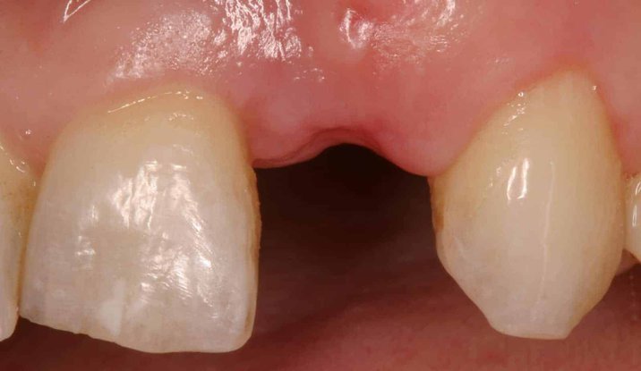
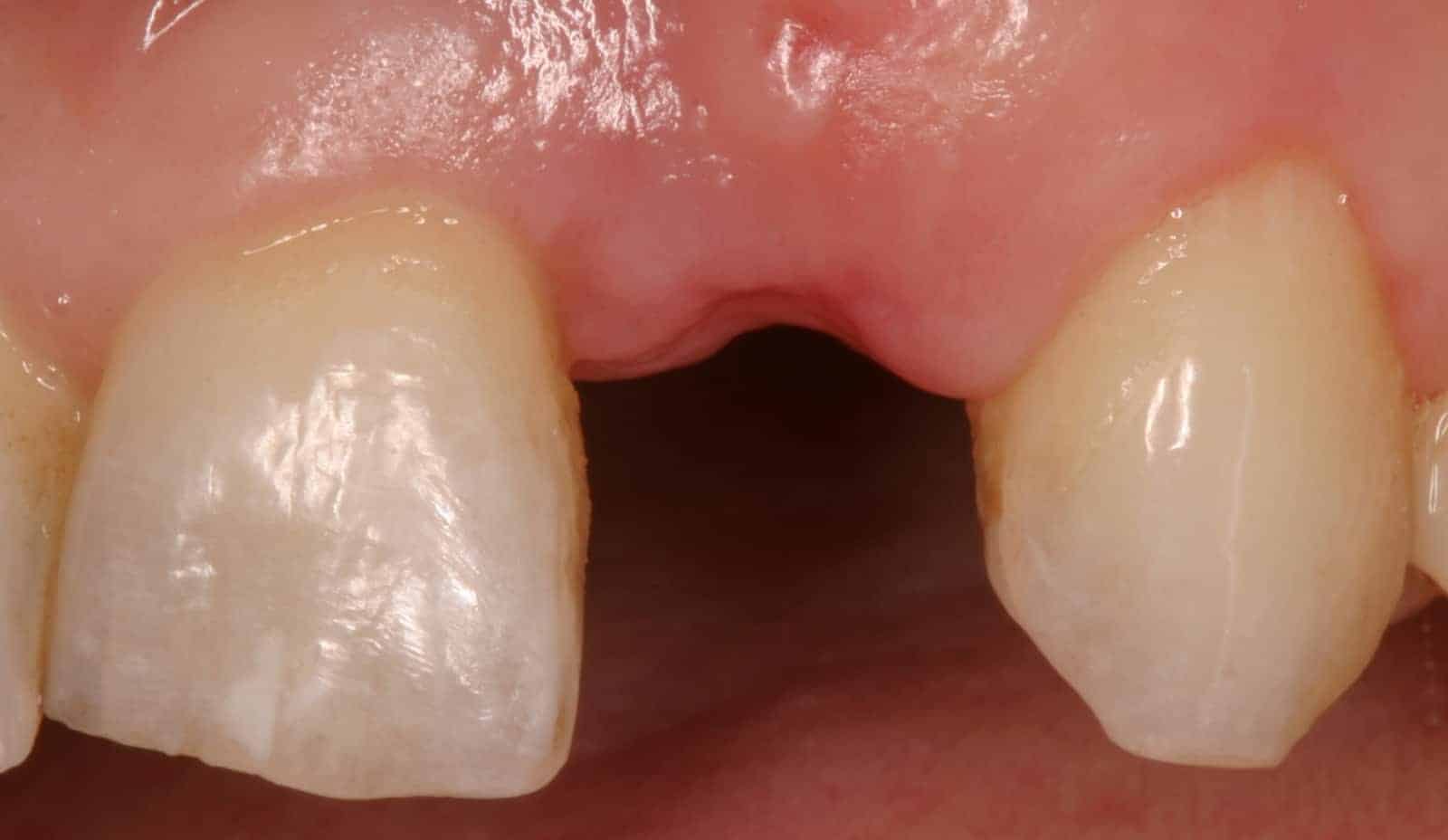
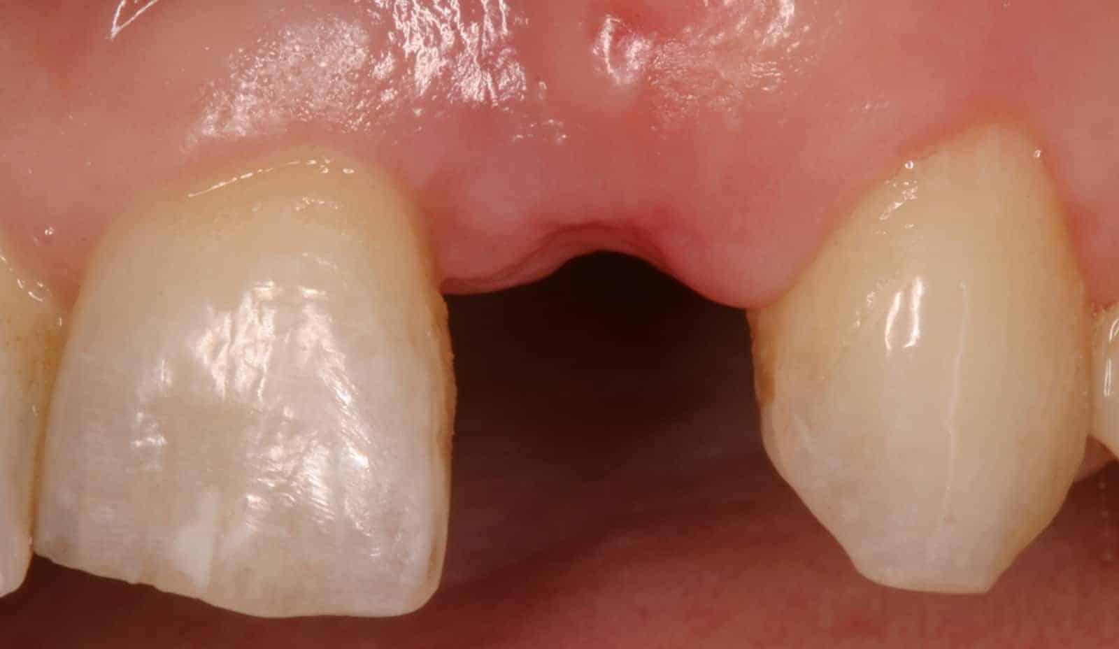
Before: Missing tooth and bone. Patient not interested in implant therapy.

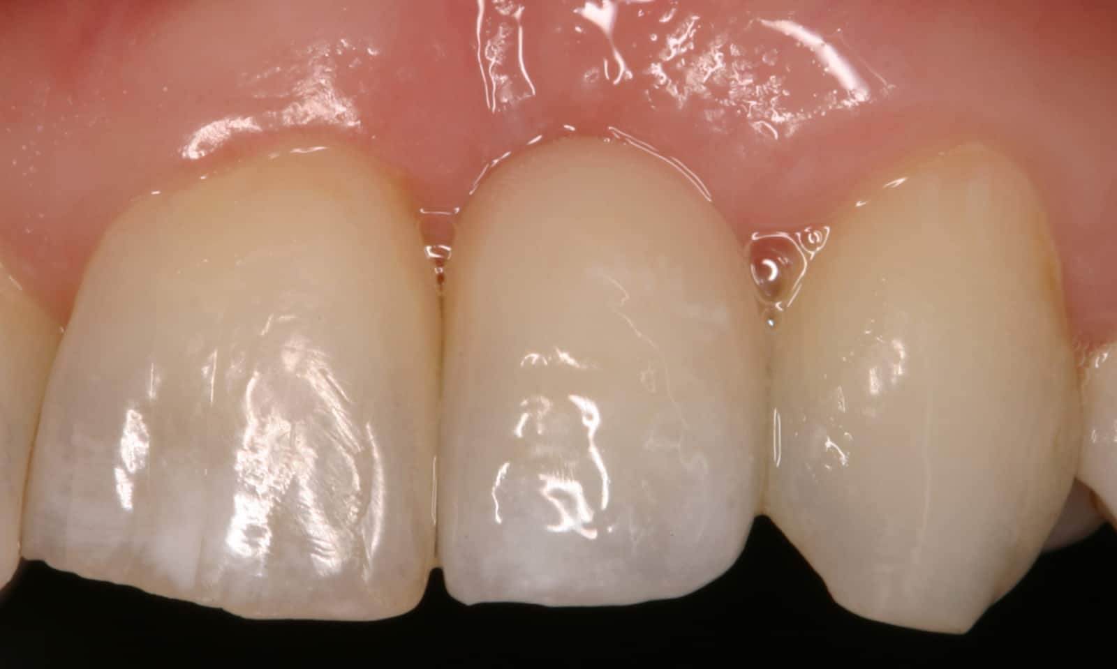
After: A conservative treatment approach was elected: Resin-bonded fixed partial denture (Maryland Bridge), utilizing a conservative metal wing bonded to the lingual surface of tooth #11 (upper left canine). The pontic (false tooth #10 – upper left lateral incisor) is attached to the metal wing. The outcome was a conservative fixed solution, achieving satisfactory aesthetics and function.



About DenteVita Prosthodontics

DenteVita Prosthodontics and the Practice of Dr. Aldo Leopardi specialize in aesthetic, implant, fixed and removable dentistry. We emphasize patient comfort and quality results in a confident atmosphere. Dr. Leopardi’s patients are assured their image is in good hands right from the first impression.