Case Study Details
Fixed; Full Arch Restoration; Acrylic-fused-to-Metal; Fixed Partial Denture; Implant Supported and Implant Retained
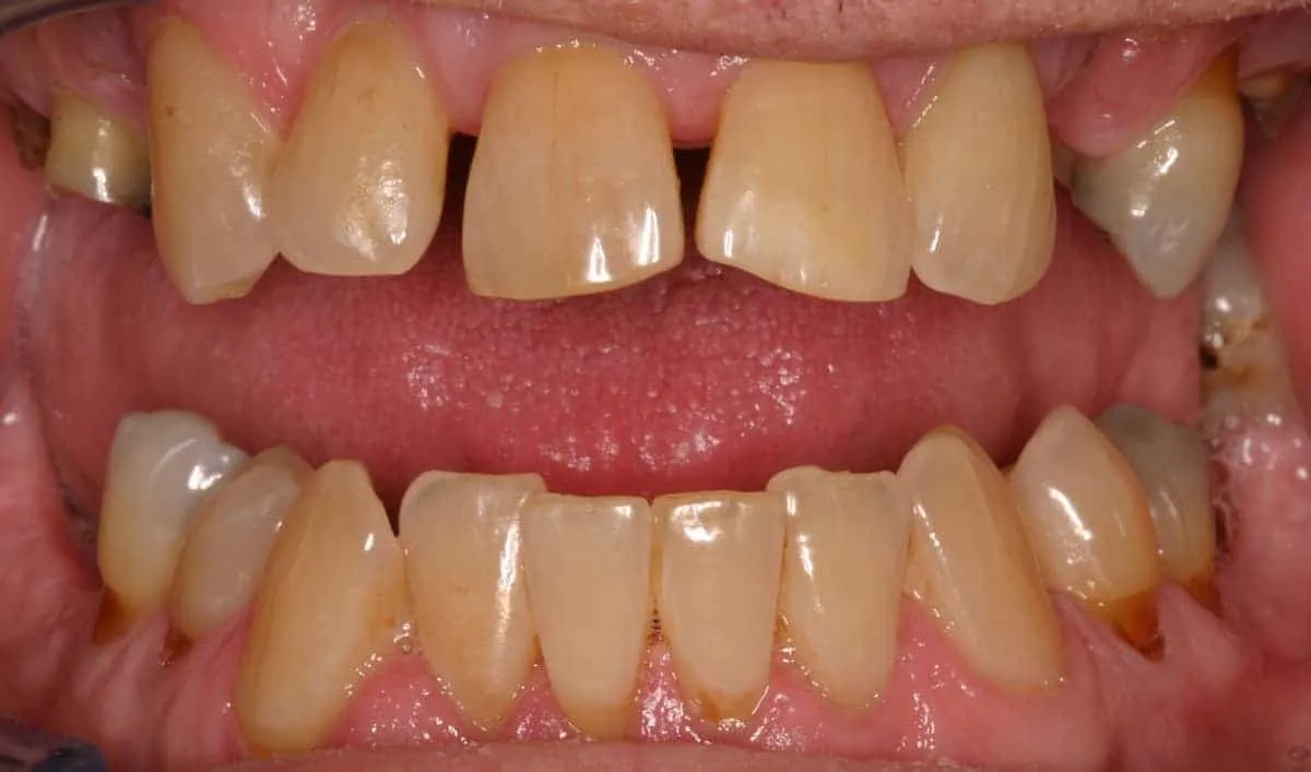
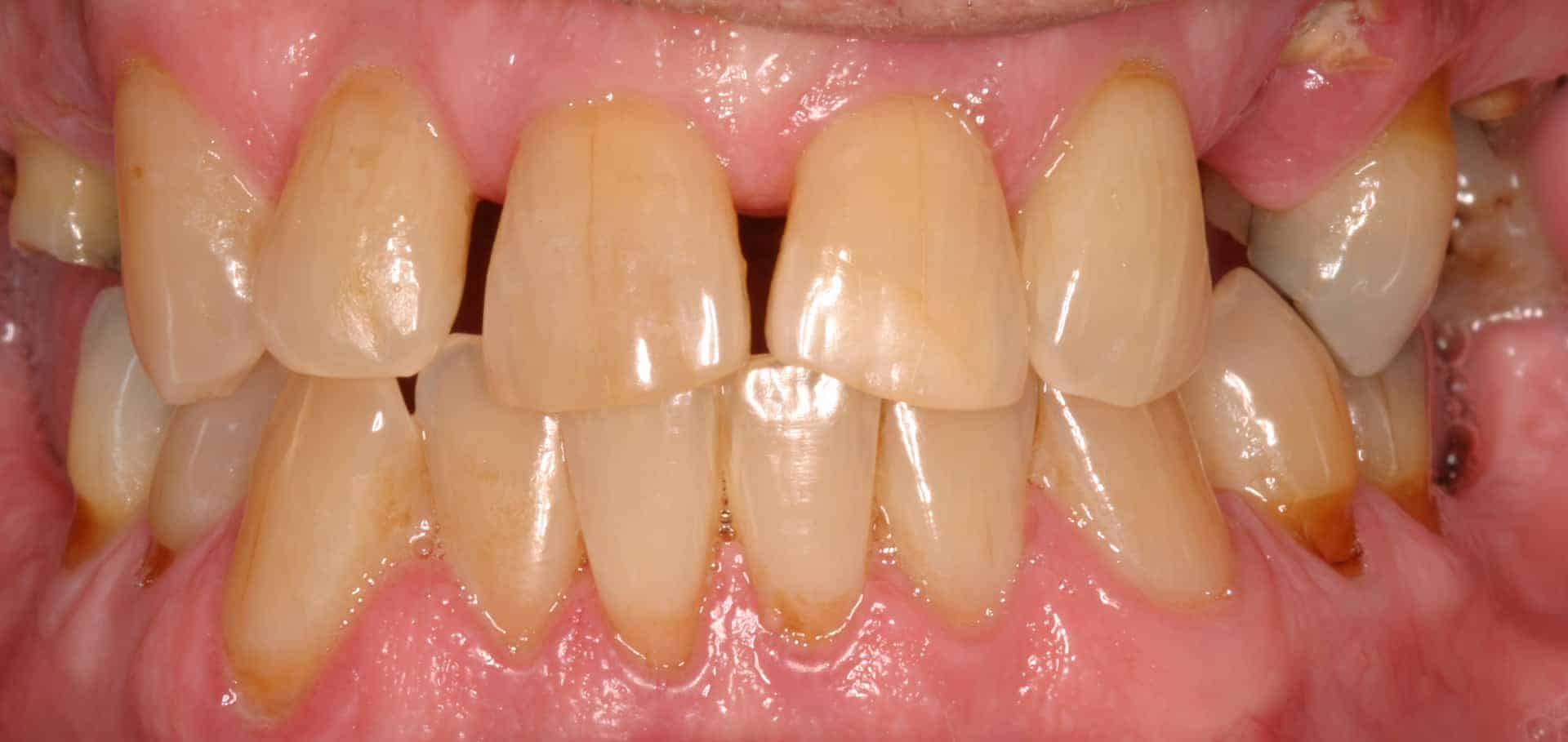
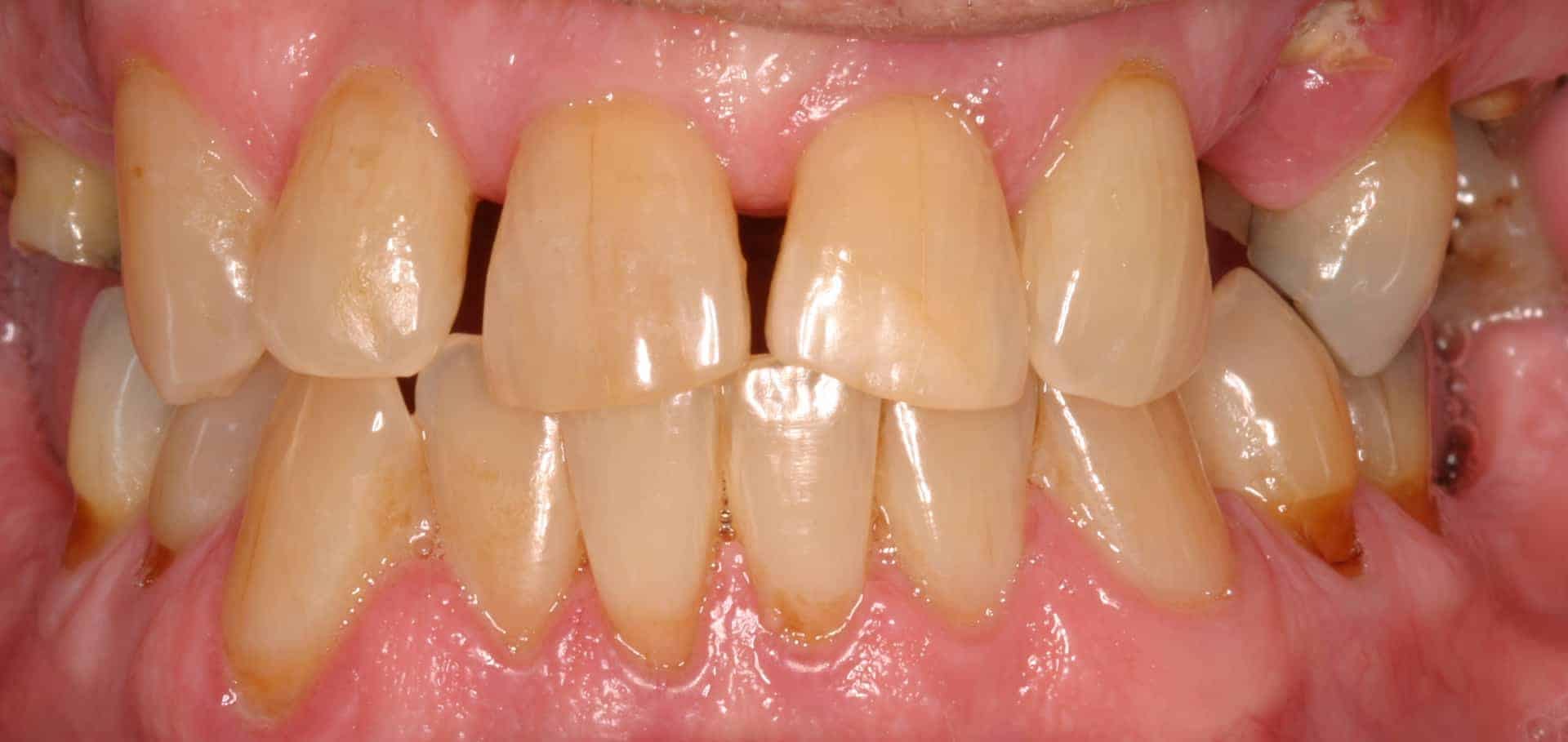
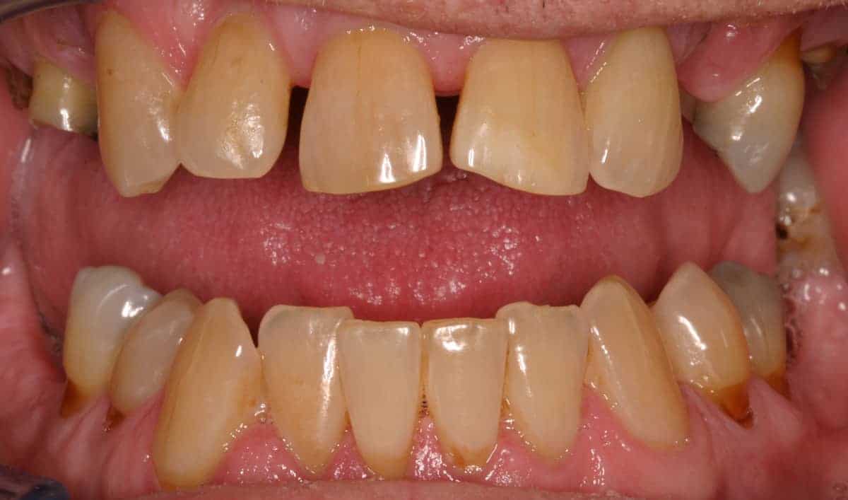
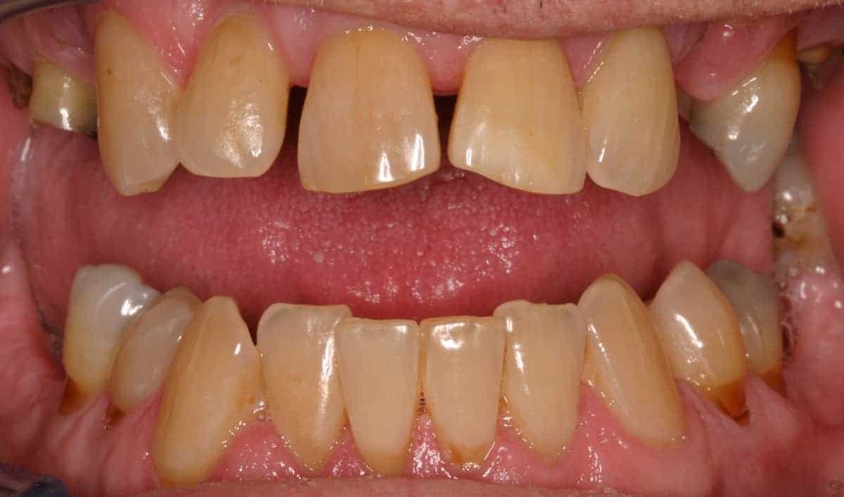
Before: Failed upper remaining teeth requiring removal. Patient elected to proceed with Phase I immediate complete denture therapy with the view toward phase II implant therapy.
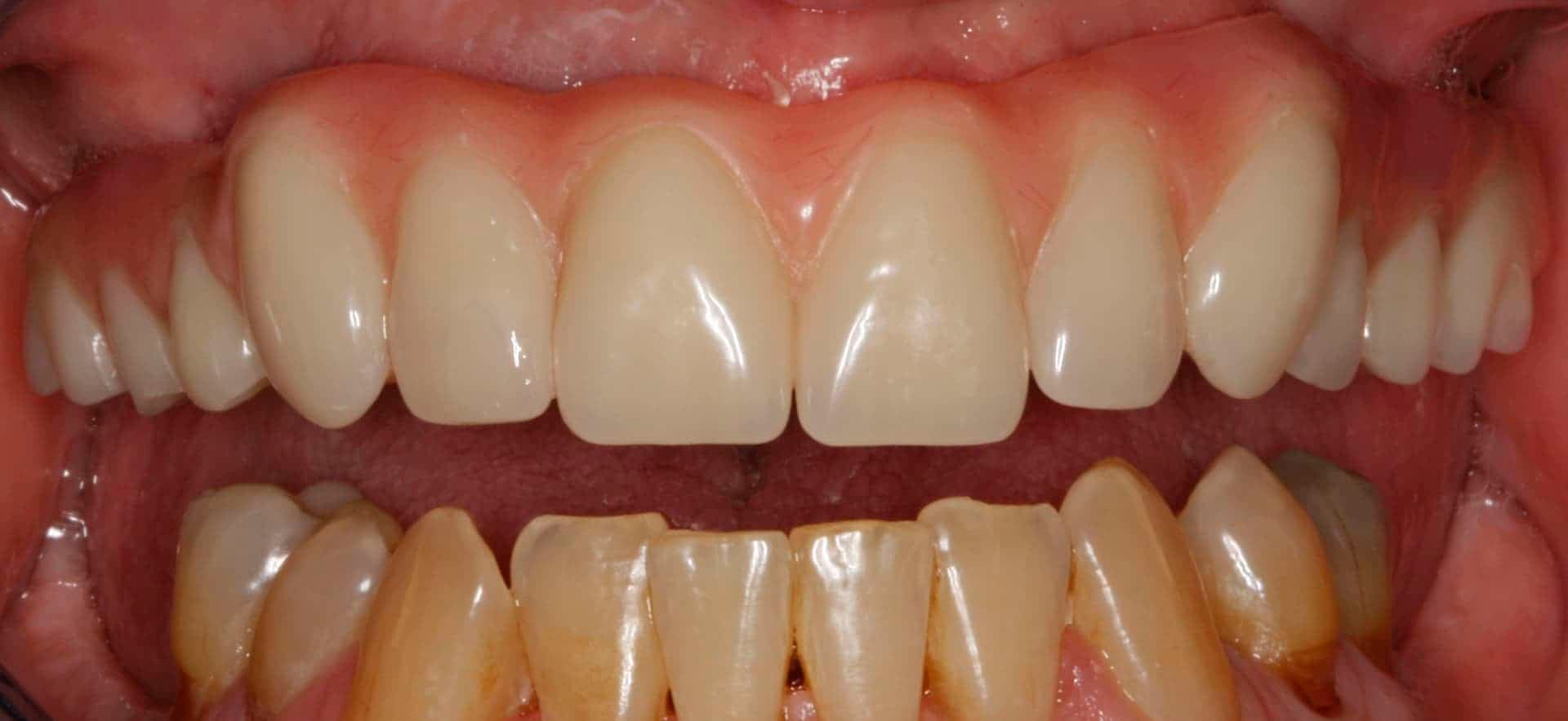
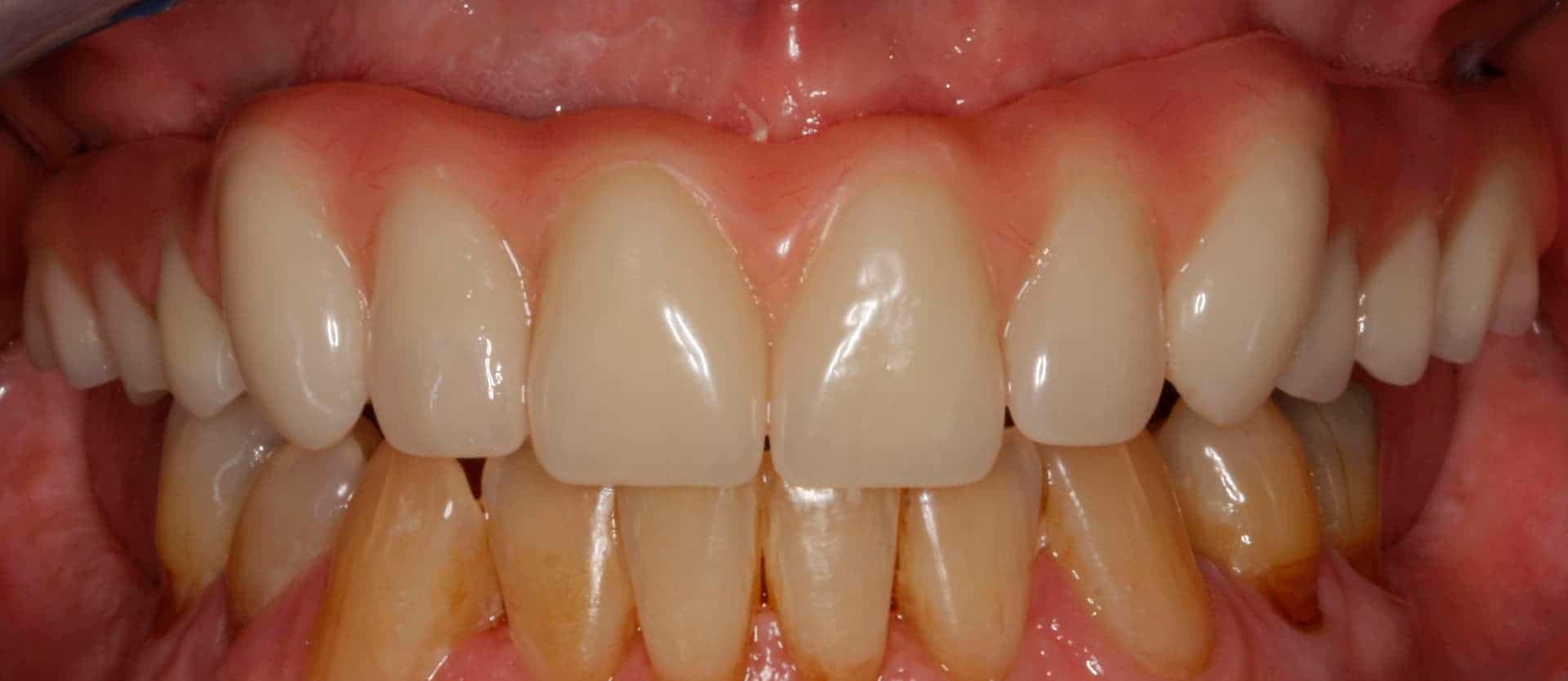
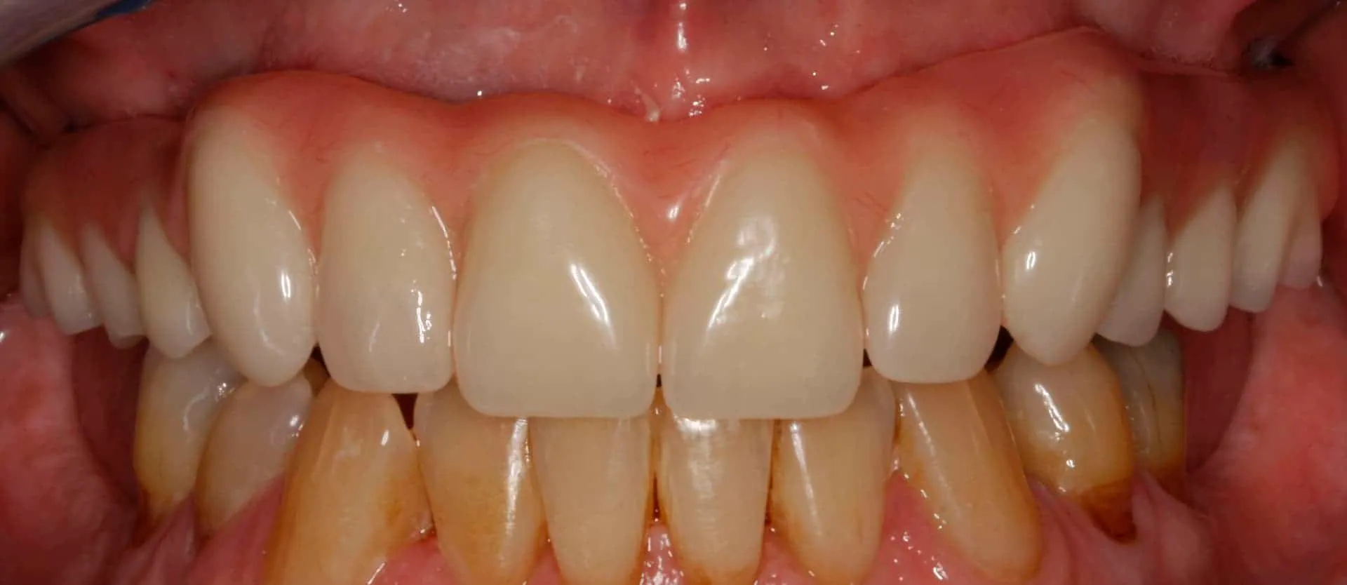
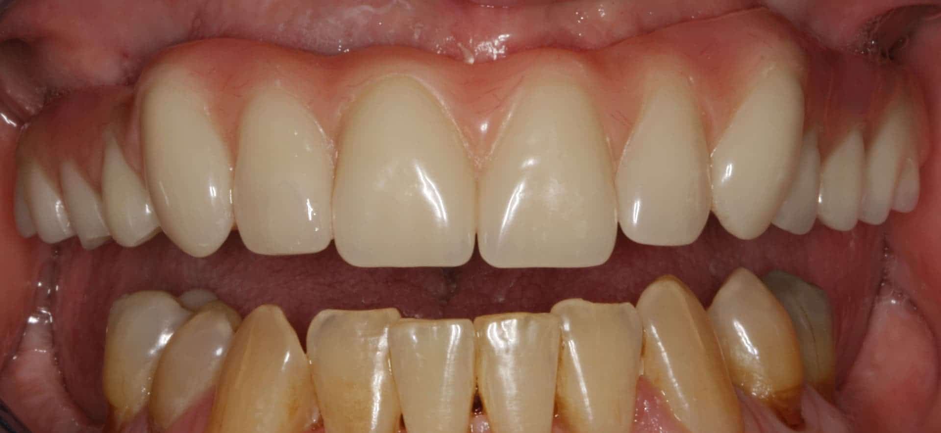
After: Maxillary (upper), acrylic fused to metal, fixed (hybrid) screw-retained (retrievable) restoration supported by 6 titanium root form dental implants. The restoration is fixed, therefore only Dr. Leopardi can remove it for routine maintenance and hygiene, as needed. The patient cleans the fixed restoration as he does his natural lower teeth, with a tooth-brush, floss and water-pick. The outcome is improved function, mastication/diet, aesthetics and quality of life.
