Case Study Details
Ceramo-metal Crowns; Implant Crowns/Teeth
Before:Â Old upper anterior bridge demonstrating poor fit, exposure of unsightly margins and roots, and poor appearance.
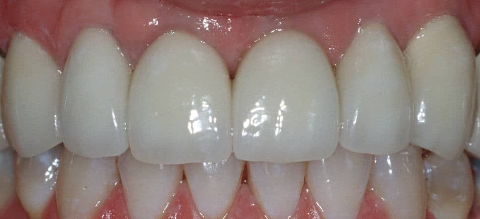
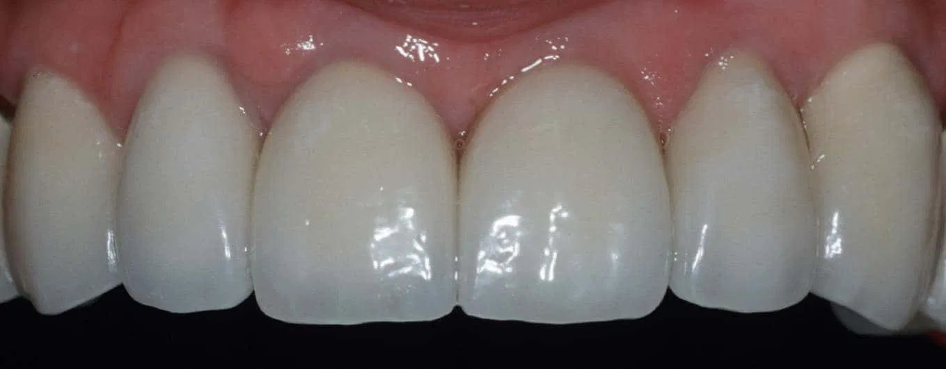
After: A combination of implant crowns and conventional porcelain fused to gold aesthetic crowns restoring function and aesthetics, including improved gum health and shape.





