Case Study Details
Fixed; Full Arch Implant Restoration; All-Ceramic; Ceramo-Metal; Fixed Partial Denture; Implant Supported and Implant Retained
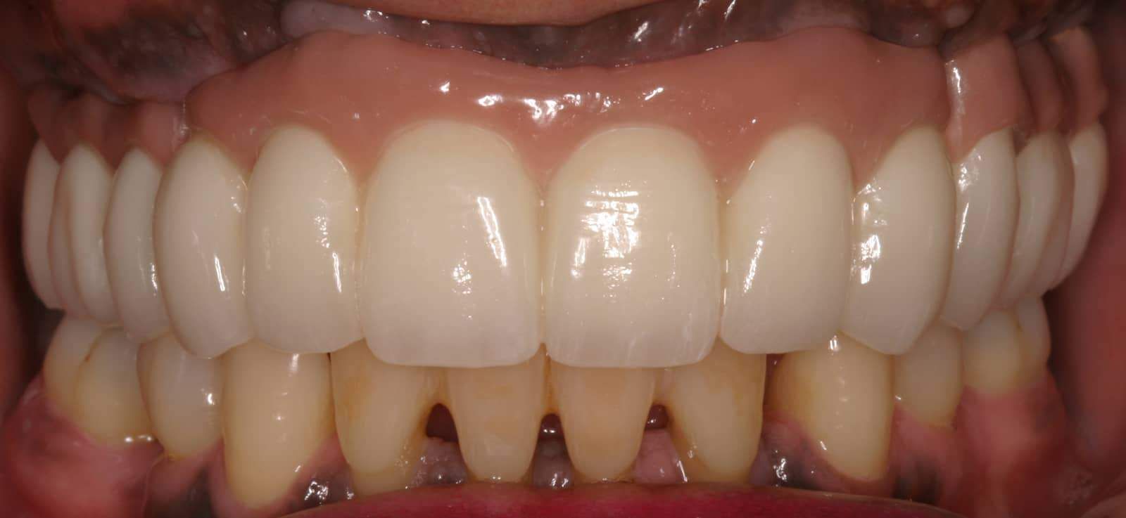
Before:Â All maxillary (upper) teeth are missing and patient was unsatisfied with her complete denture. She desired a solution that would provide her with an open palate and rigid/stable prosthesis. Treatment involved bone grafting of the upper jaw to allow for implant therapy; 6 months healing; placement of 8 root-form dental implants utilizing a surgical guide; 6 months additional healing (osseointegration).
After:Â Construction and delivery (additional 4 months) of the definitive, aesthetic and functional porcelain fused metal fixed implant restoration (retrievable, screw-retained).



