Case Study Details
Congenitally Missing Teeth; Full Mouth Reconstruction/Rehabilitation; Increased Occlusal Vertical Dimension; Pre-Orthodontic Treatment; Ceramic Crowns-bonded; Implant Crowns
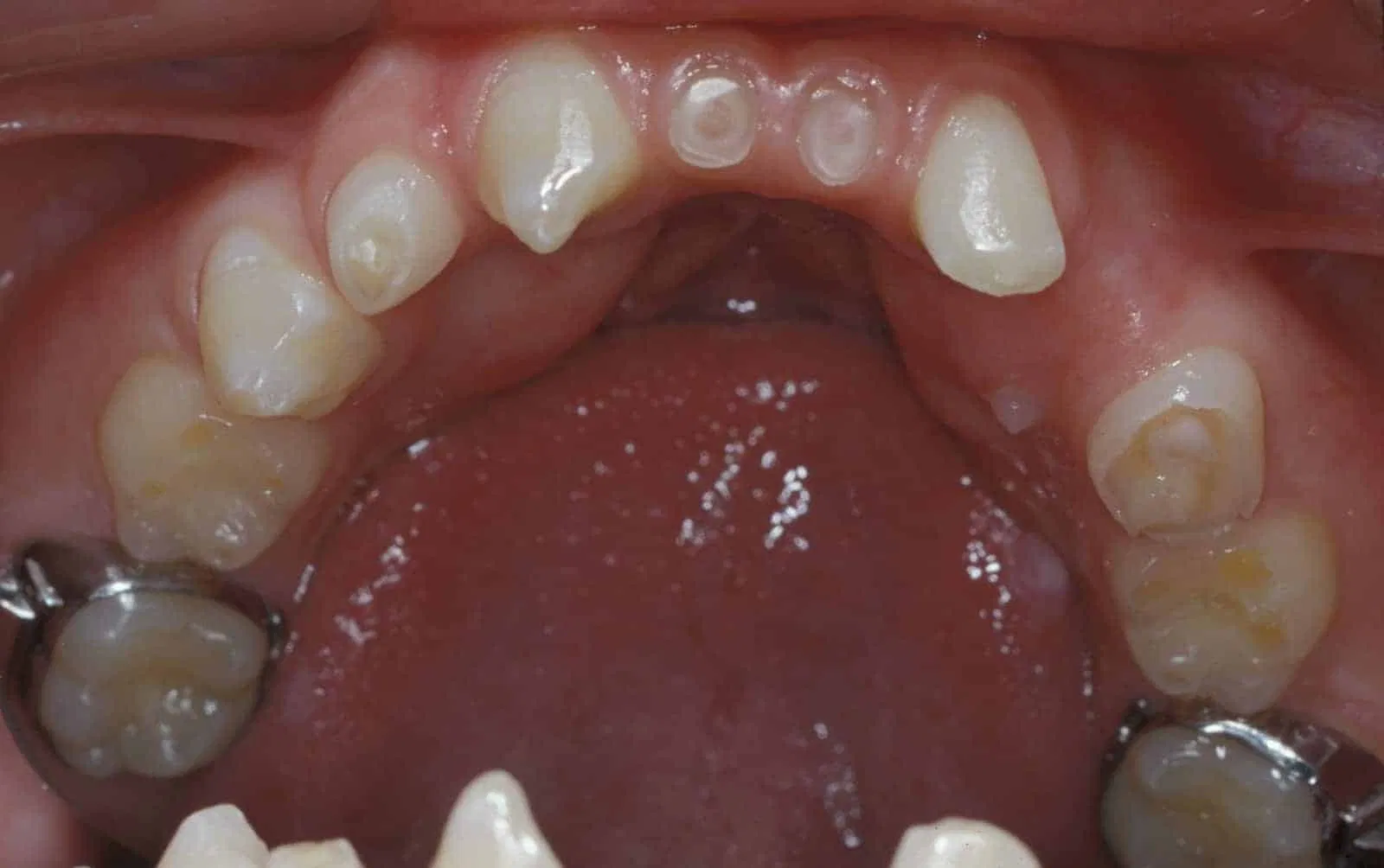
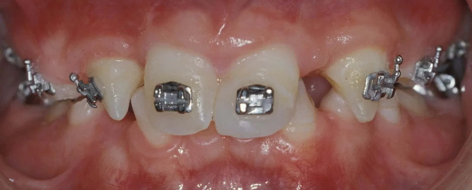
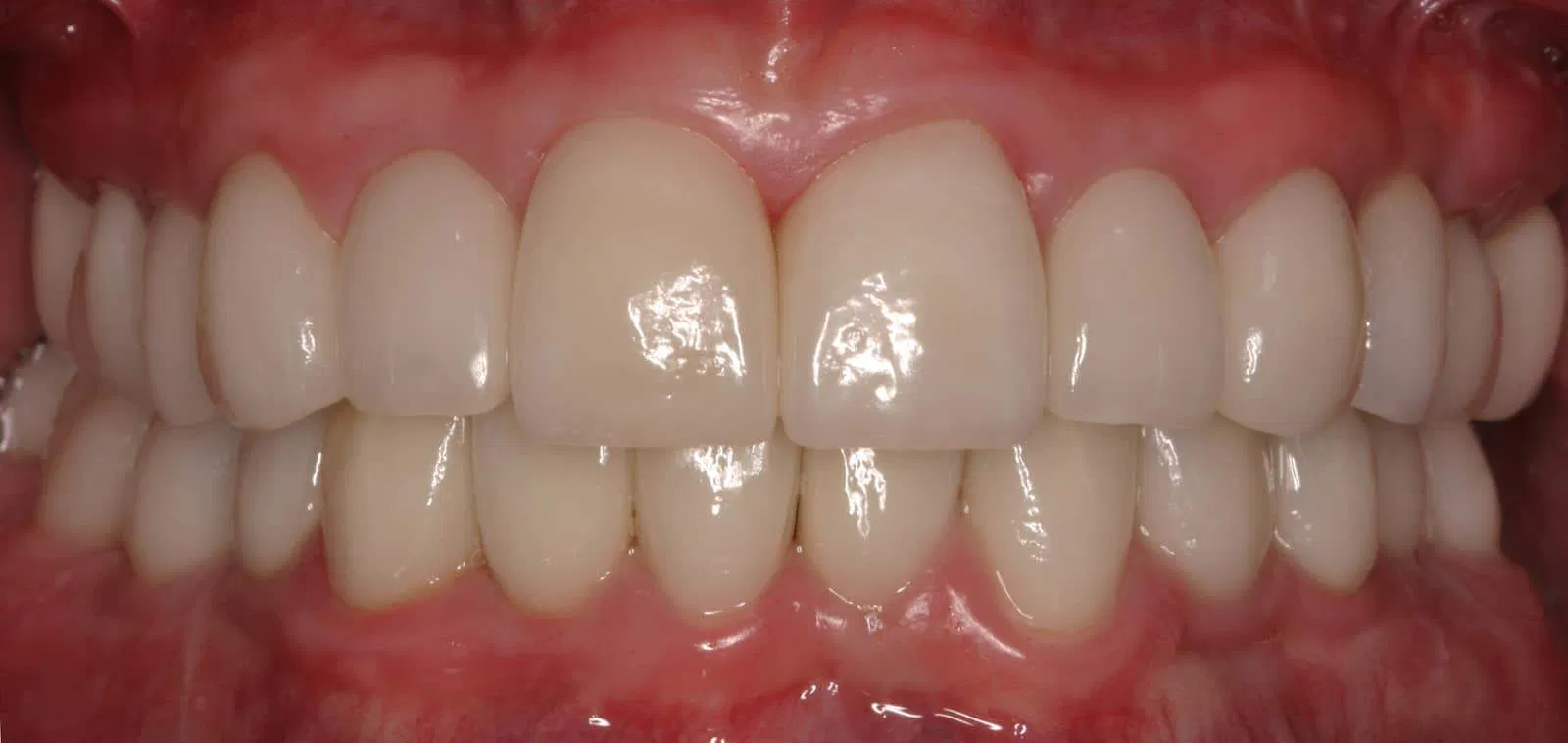
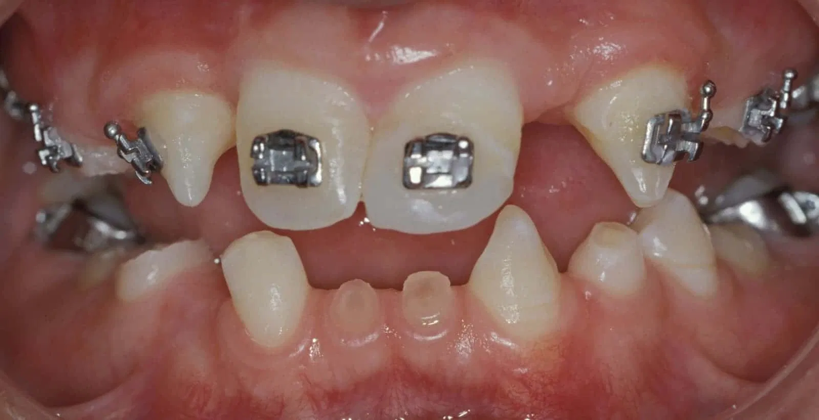
Before: Patient is missing 19 adult teeth. Treatment to replace the missing teeth began at age 12 and was completed at age 21. Treatment involved a team approach, with an Orthodontist, Oral and Maxillofacial Surgeon, and Prosthodontist (Dr. Leopardi) heading the team. Orthodontic therapy was performed first to move existing adult teeth to allow for implant tooth replacement therapy in missing teeth sites (tooth-implant-tooth relationship).
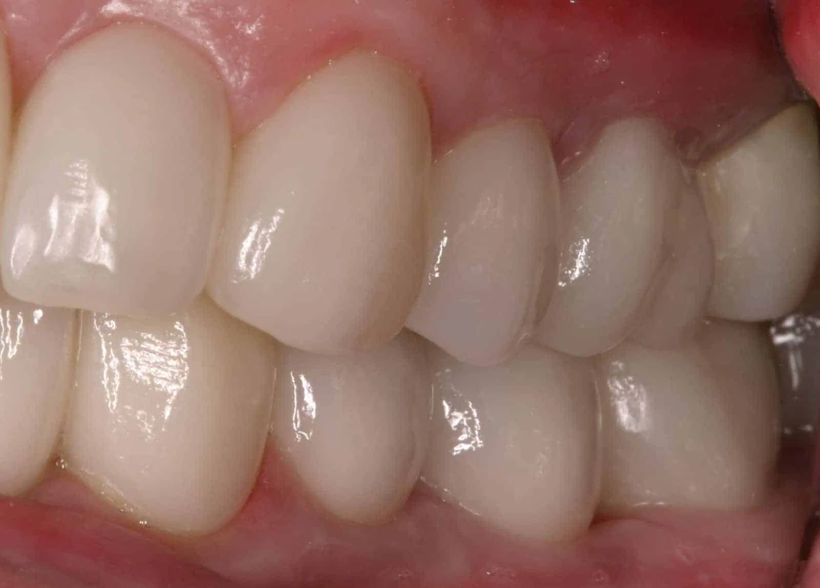
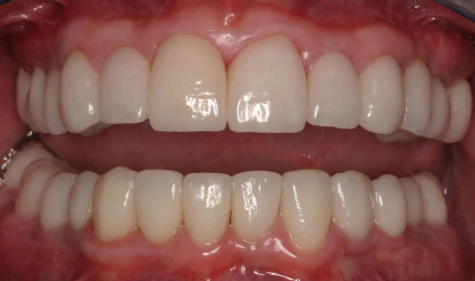
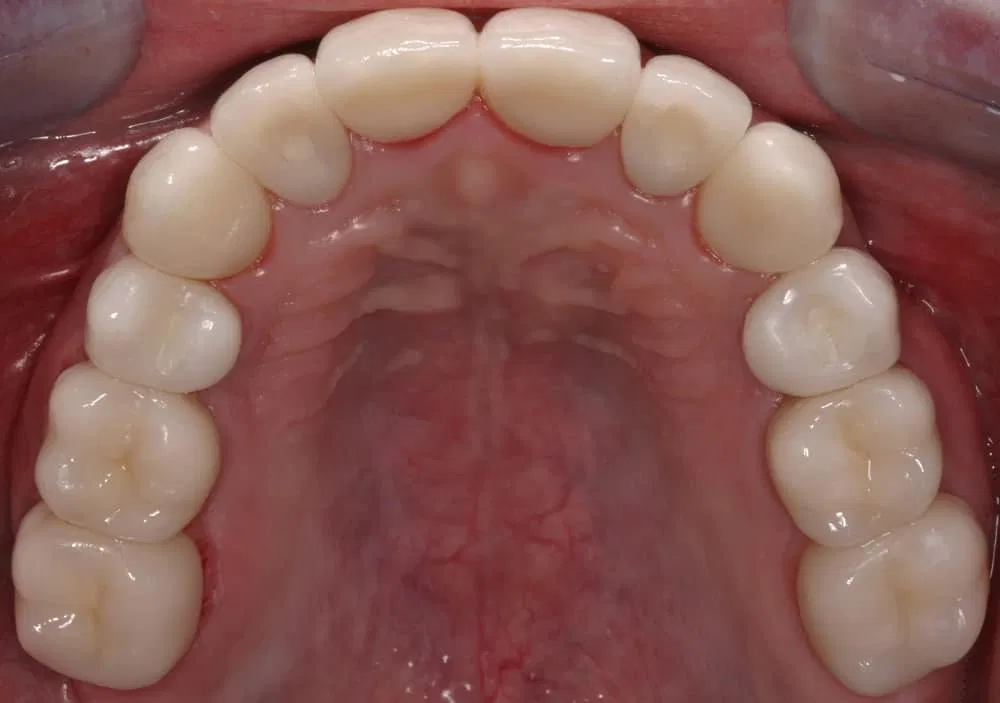
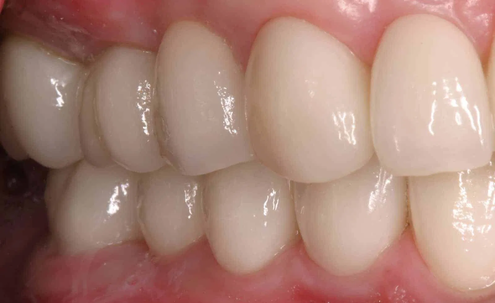
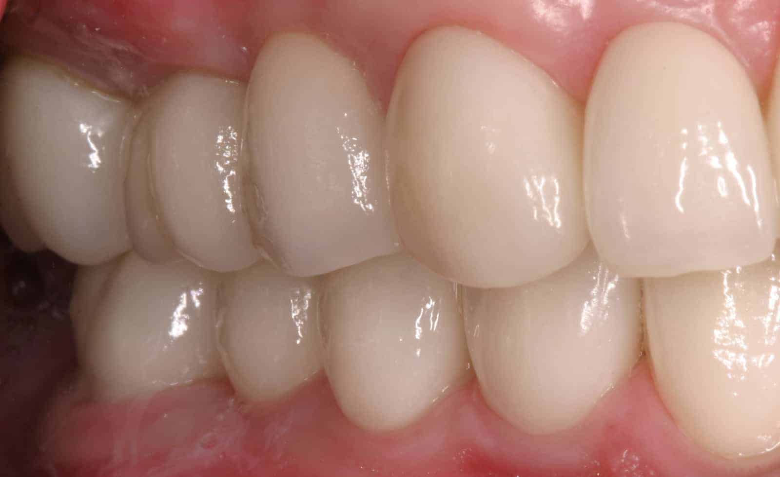
After:Â Implants were then placed by the team oral surgeon utilizing surgical guides fabricated by Dr. Leopardi. Dr. Leopardi then performed a complete dental (full mouth) rehabilitation: full coverage, conservative bonded porcelain restorations on natural teeth; all ceramic implant restorations on the upper lateral incisor implants (sited 7 and 10), porcelain fused to gold implant restorations on implants 3, 14, 19, 21, 23, 25, 28 and 29, at increased occlusal vertical dimension. Patient was restored to full function and aesthetics, significantly improving quality of life.











