Case Study Details
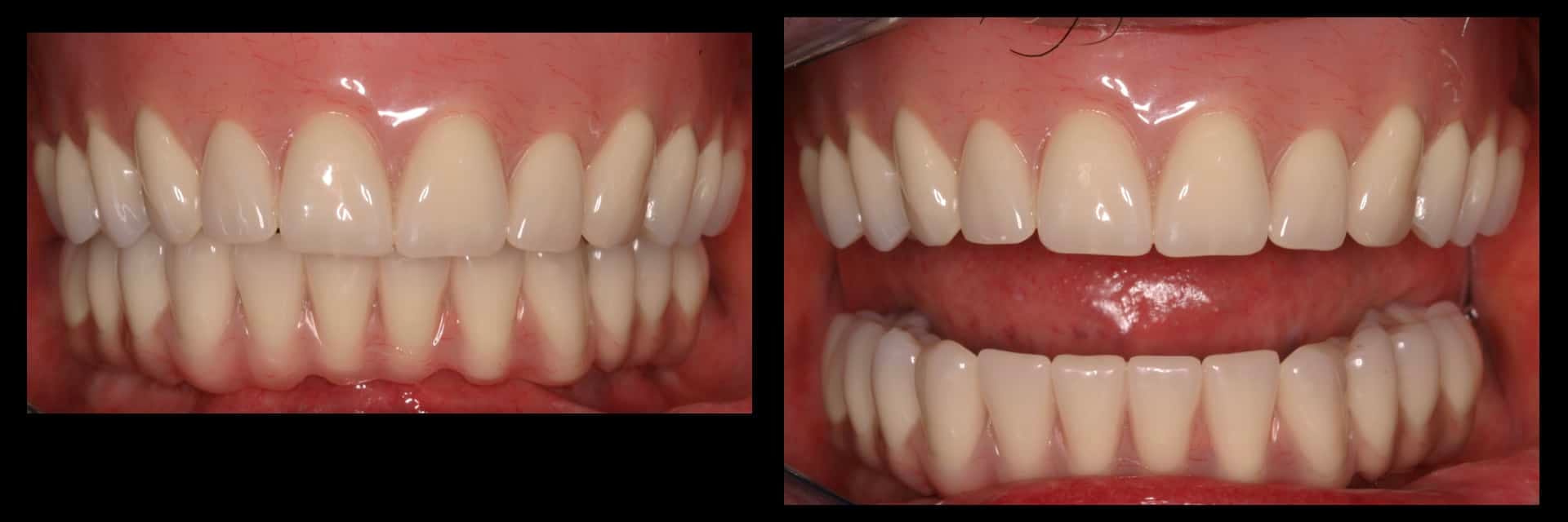
Before: History of multiple missing posterior teeth/lack of posterior support (no back teeth to chew with), periodontal disease and significant crowding and mis-aligned jaws/teeth.
Treatment: Implant tooth replacement therapy – multiple upper and lower implants. A rigid design upper palate free prosthesis that is removable for cleaning, and rigid fixed lower prosthetic (held in place with screws, can not be taken out by the patient, but can be removed by Dr. Leopardi for maintenance/service and cleaning). Both prostheses are acrylic-fused-to-metal.
Maintenance: The upper is a removable design. Consequently, retentive components wear over time. The resilient clips are to be replaced every 6-12 months. The teeth are high impact plastic, but subject to wear. The teeth need to be replaced 8-10 years, depending on the rate of wear. If minimizing wear is desired, then porcelain restorations should be chosen (please note: porcelain restorations are higher in cost than plastic teeth restorations).
