Case Study Details
Ceramic Post/Core; Ceramic Crown-Bonded
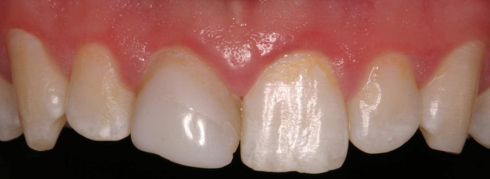
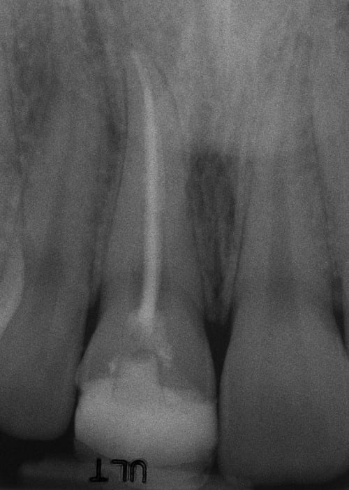
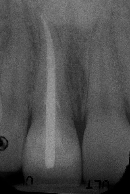
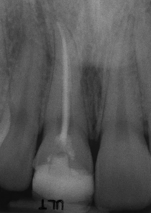
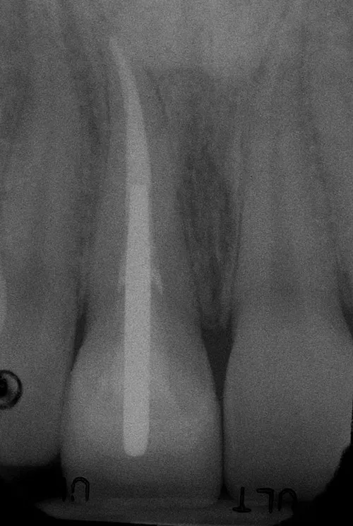
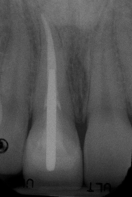
Before:Â Tooth #8 (upper right central incisor) has a history of trauma and root canal therapy. Re-treatment of the root canal filling was required.
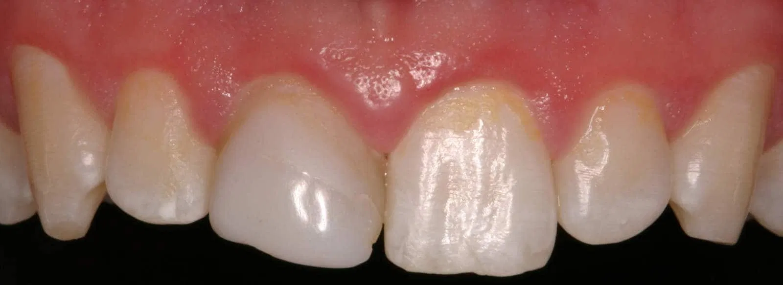
After: Followed by delivery of a custom ceramic post/core foundation, and a bonded all-ceramic full coverage single restoration (crown).








