Case Study Details
(Occlusal/Bite Equilibration; Revision Therapy; Porcelain Laminate Veneers)
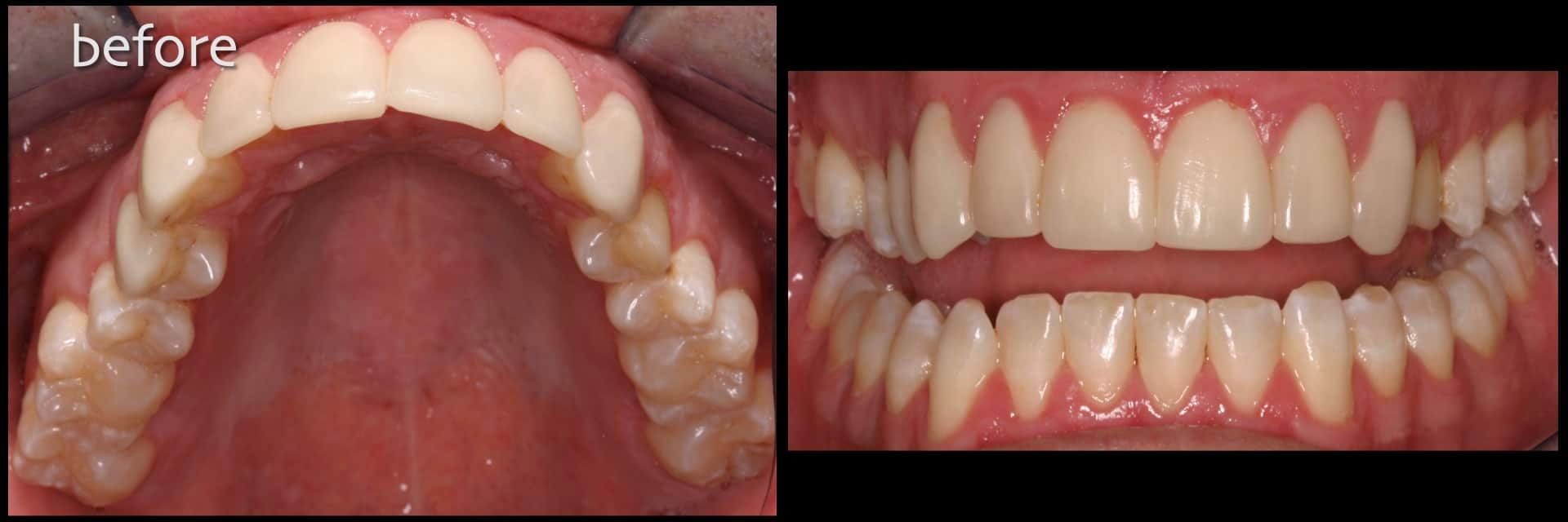
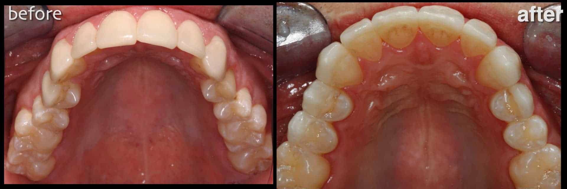
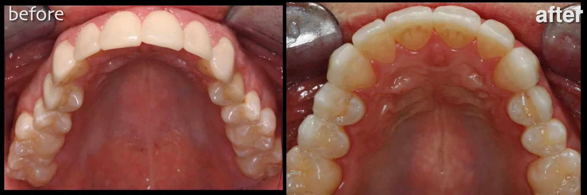
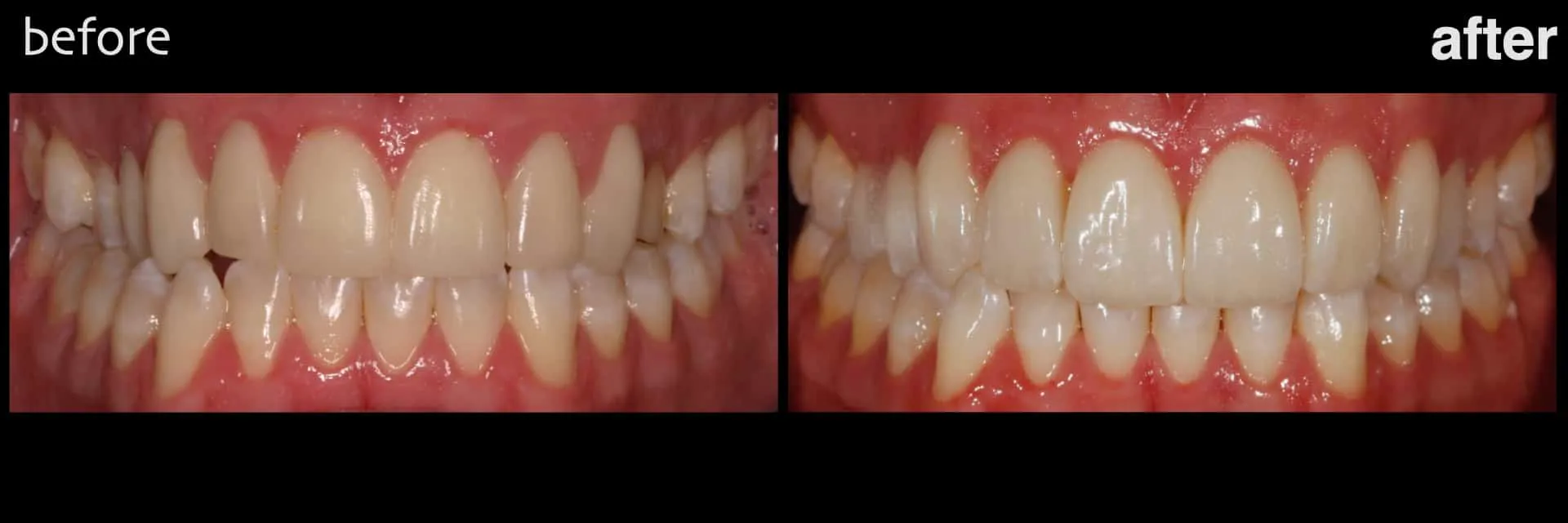
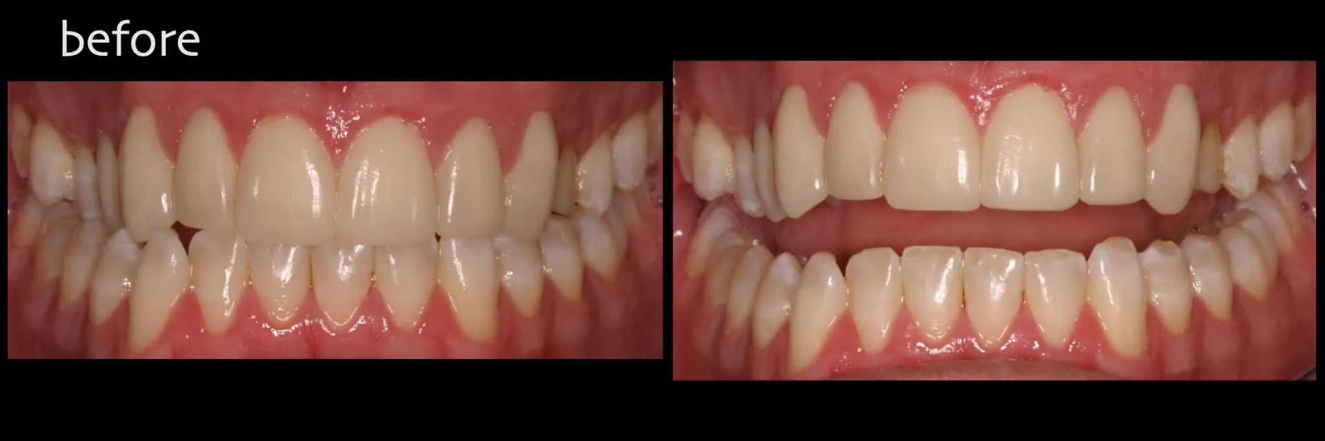
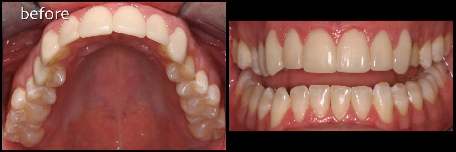
Clinical Findings: Malocclusion (heavy anterior occlusion with lack of posterior contact/support). Existing upper anterior porcelain veneers exhibiting chipping, poor marginal integrity and questionable aesthetics.
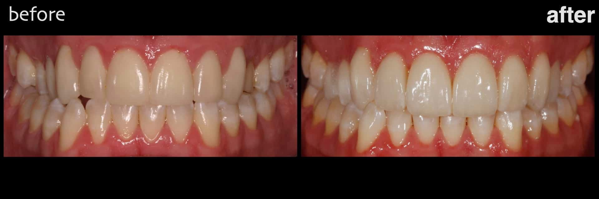
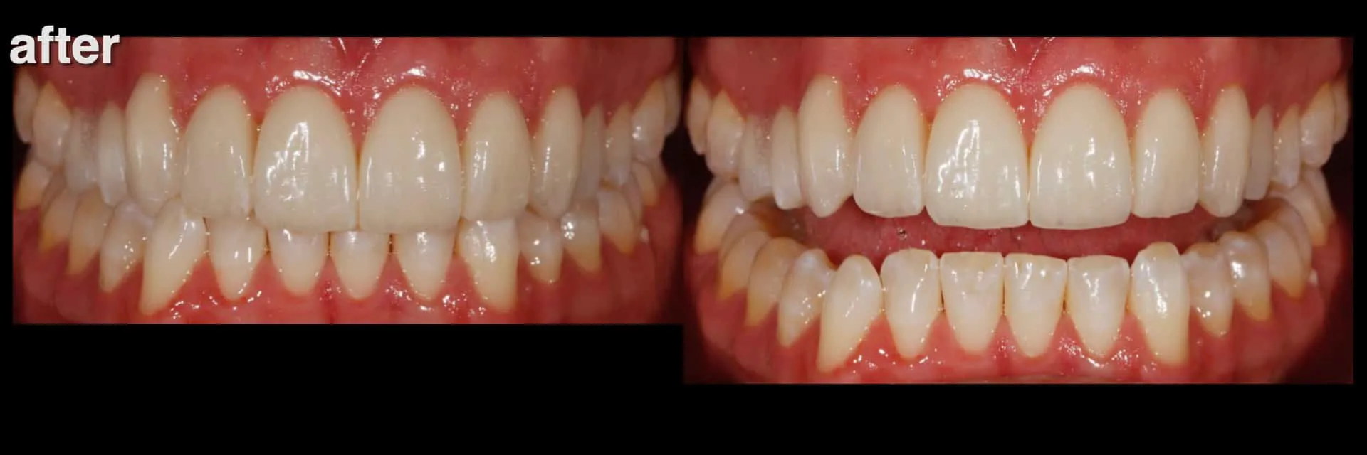
Outcome: Enhanced occlusion/bite and aesthetics. Aesthetics also enhanced with conservative additional porcelain laminate veneers for teeth 4 and 5 (upper right premolars).











