Case Study Details
Anterior; Tooth Supported Bridge (Fixed Partial Denture)
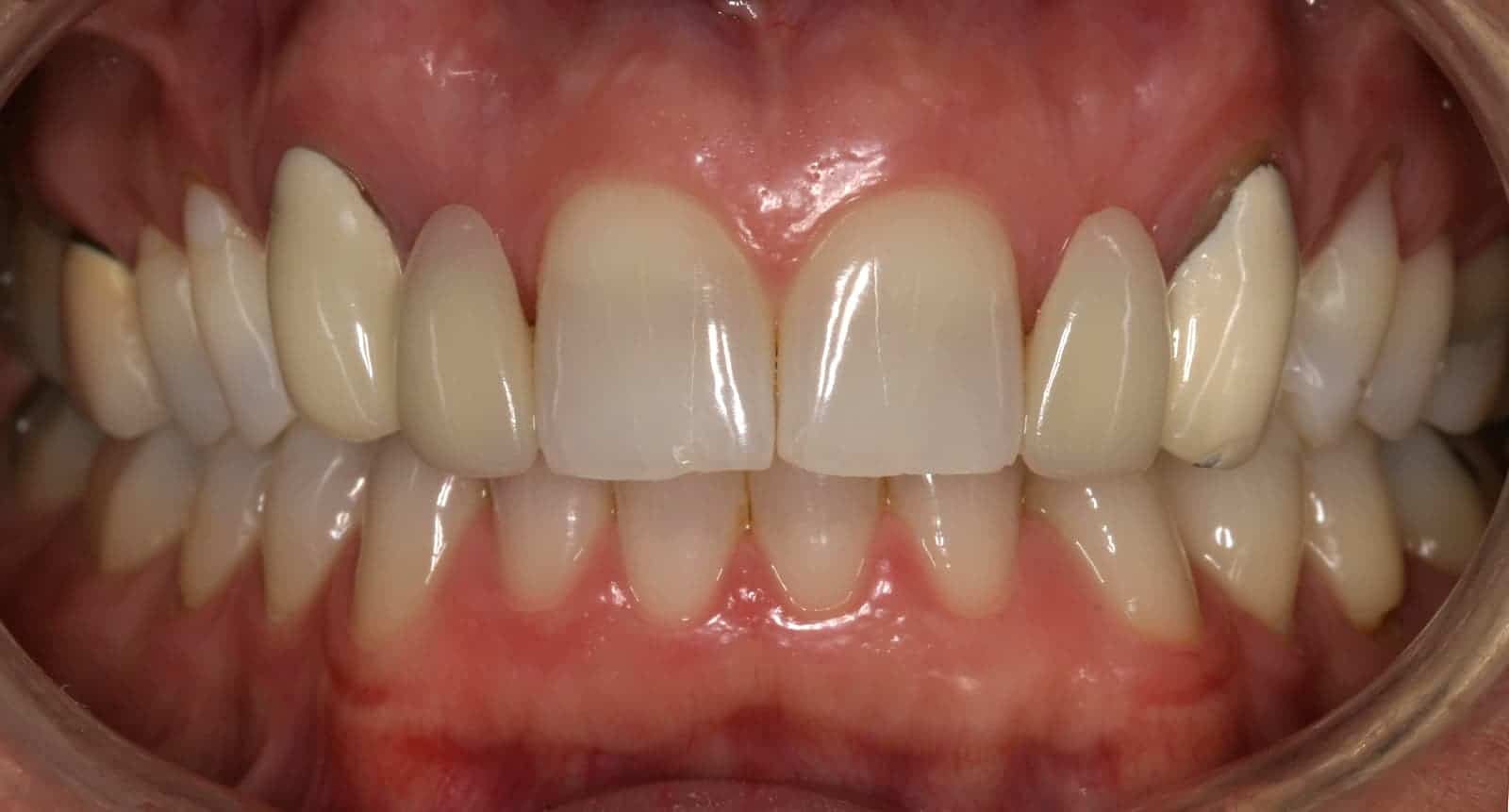
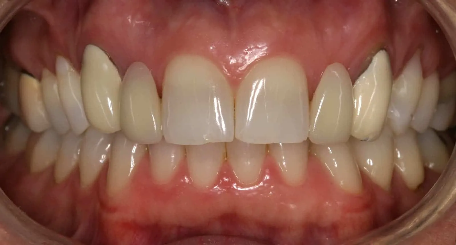
Before:Â Existing bridge work replacing missing teeth 7 and 10 (upper lateral incisors) in need of revision due to poor aesthetics and fit. Patient is not a candidate for implant therapy unless orthodontics is undertaken to create adequate spacing between the adjacent roots. The patient is not interested in orthodontic treatment. The chosen treatment option was revision crown and bridge therapy.
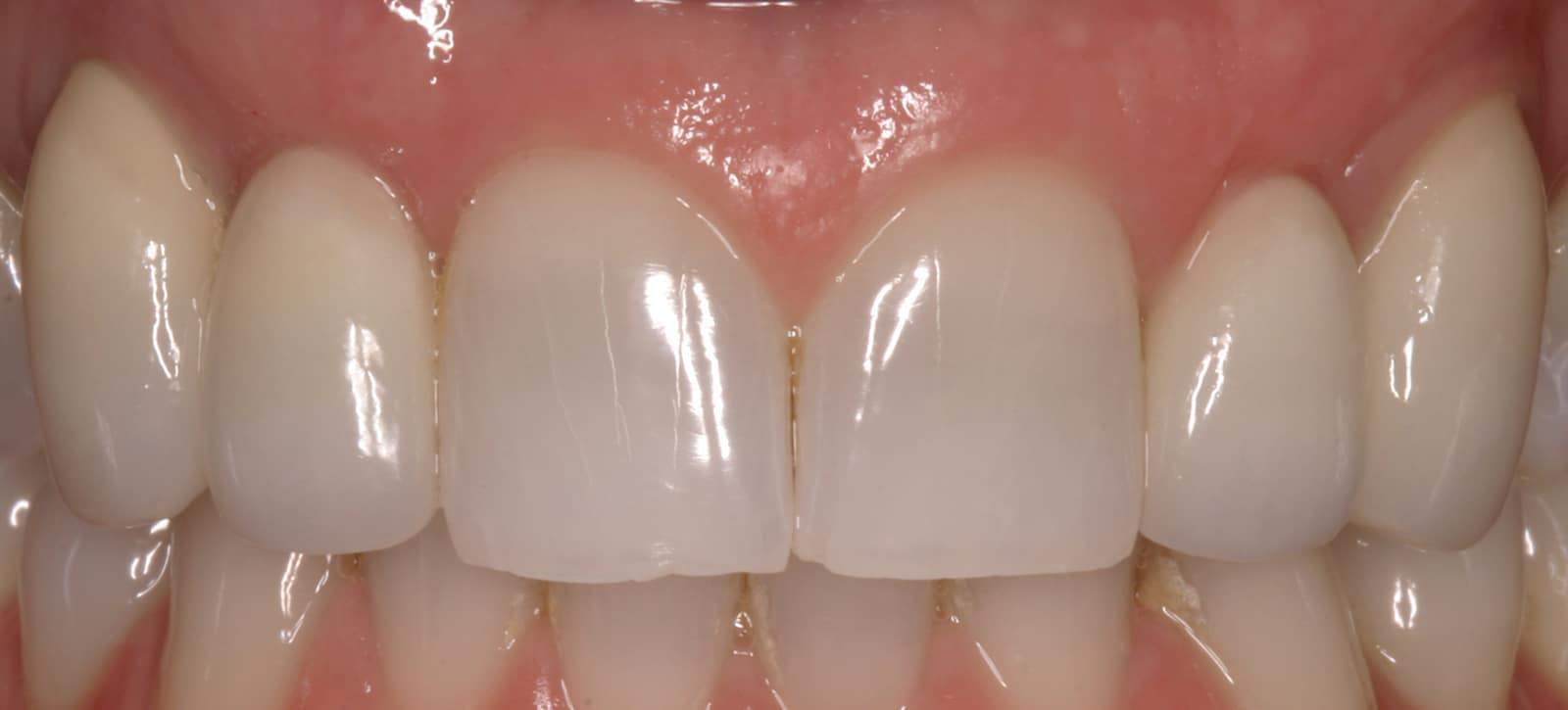
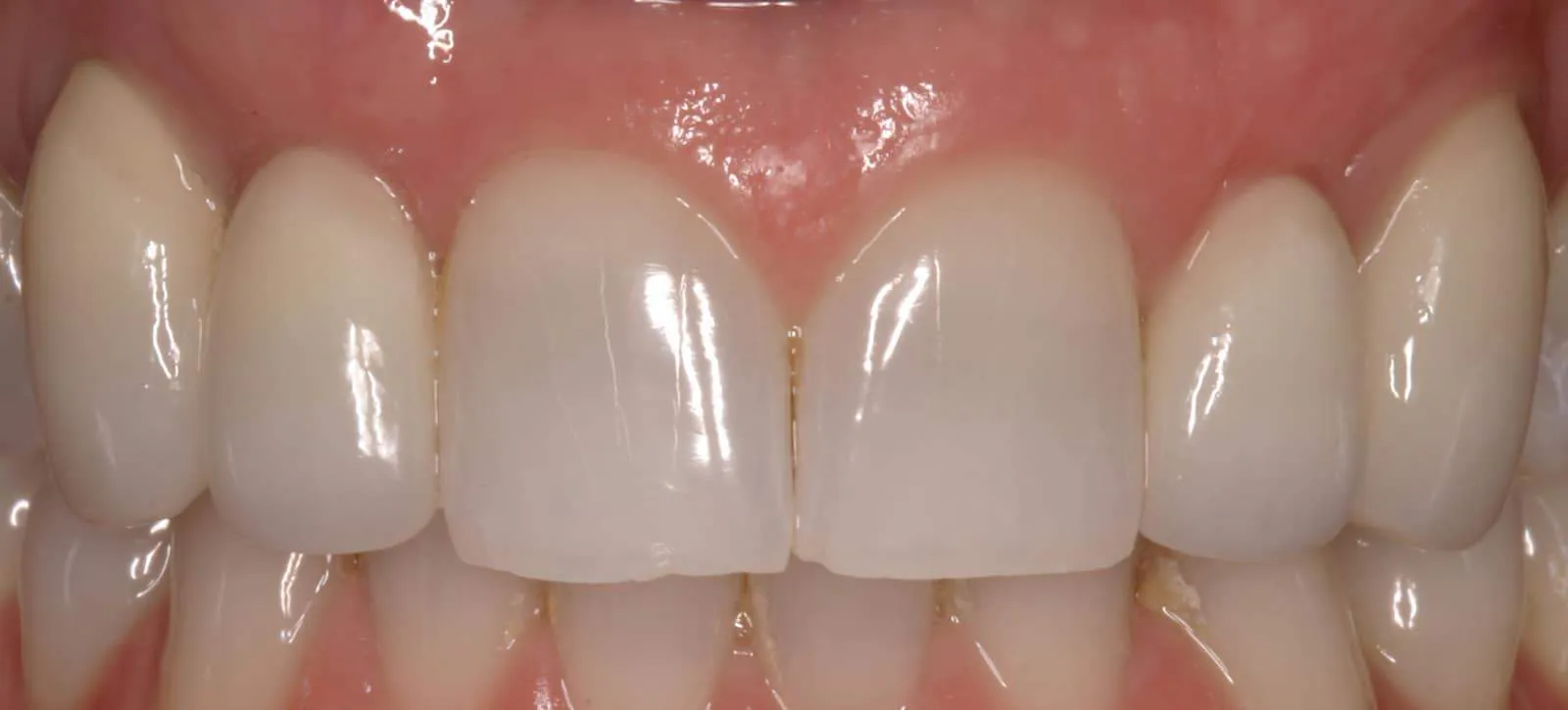
After:Â Treatment involved tissue augmentation (connective tissue grafts) at pontic sites (false tooth sites) 7 and 10, long-term prototype bridges (temporary bridges), ovate pontic form development, then definitive porcelain fused to gold two-unit bridges (fixed partial dentures), with abutment (support) teeth 6 and 11 (upper canines) and pontics 7 and 10.




