Case Study Details
(Congenitally Missing Teeth; Implant Crown; Bonding)
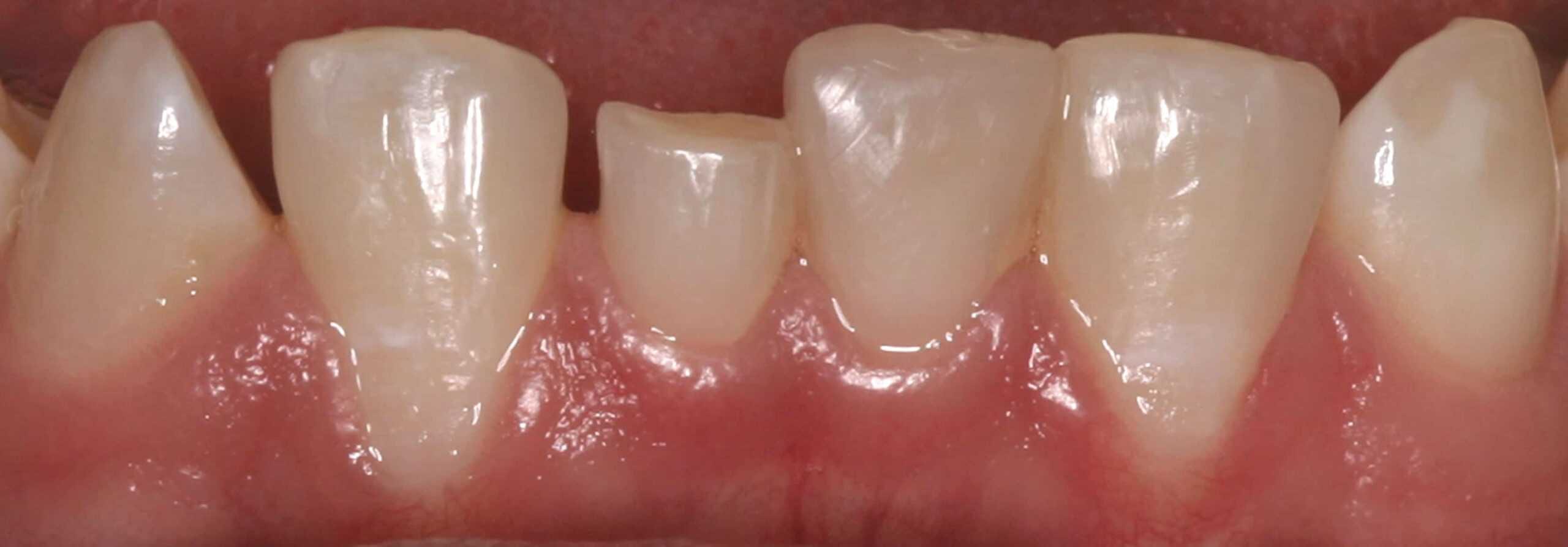
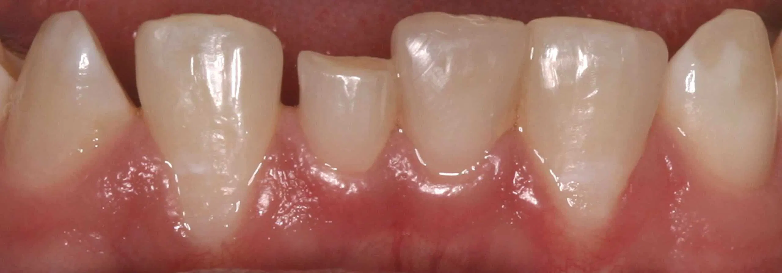
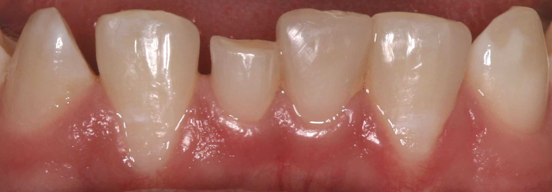
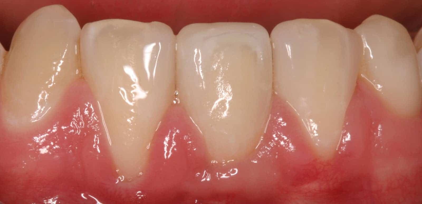
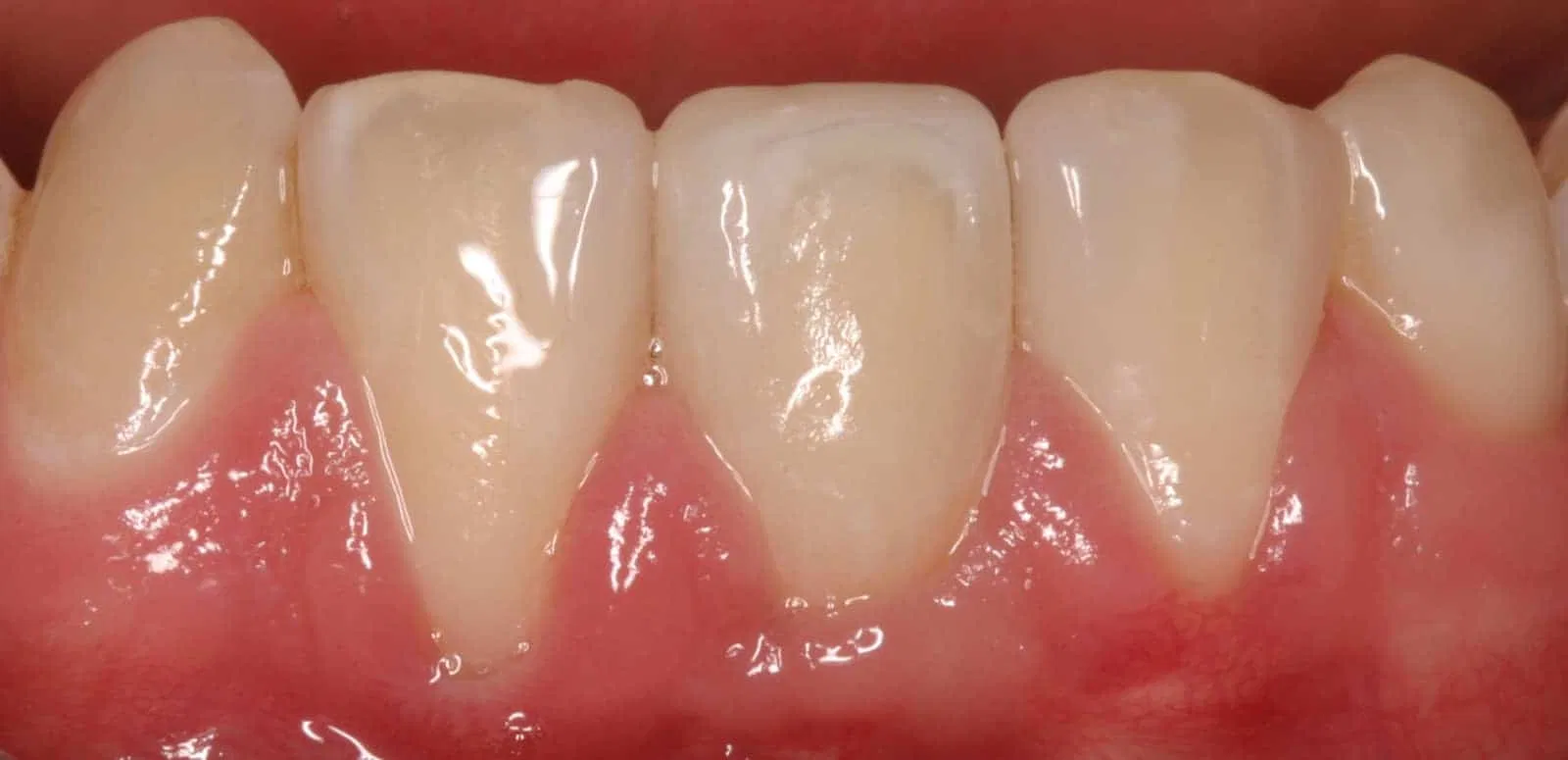
Function and aesthetics were returned following removal of retained deciduous (baby) central incisors, orthodontic therapy to reduce gap size, and single implant placement and restoration to replace congenitally missing lower central incisors. The adjacent lower lateral incisors had bonding procedures performed with composite resin to augment tooth width and overall shape/size, thereby providing even width/harmonious lower anterior front teeth.
Single tooth replacement implant and restoration with an aesthetic implant crown.


