Case Study Details
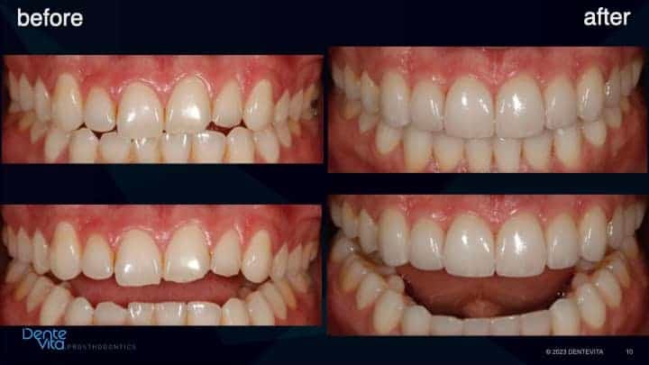
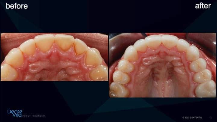
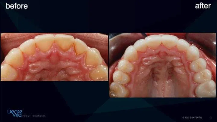
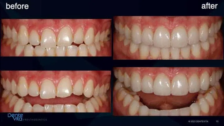
Tooth enamel wear and erosion, with resultant short/smaller teeth dimensions and associated vertical and horizontal tooth drift.
Teeth wear/erosion results in missing tooth structure. When this occurs, teeth naturally vertical/horizontally drift in order for the teeth to re-establish contact with the opposing or adjacent teeth, thereby enabling us to chew food effectively. However, if we would like to establish correct tooth length/dimensions once again, this is challenging to perform, especially in a conservative manner, since restorative space is lost.
One option to reverse tooth drift is by utilizing pre-orthodontic treatment solutions to intrude/translate affected teeth, thereby re-establishing correct tooth position, gum-line positions, and re-capture vertical/horizontal restorative space for future teeth rehabilitation/restoration.
This case study addressed significant tooth erosion from gastric reflux. Lost vertical space from vertical tooth drift was reversed with orthodontic treatment (intrusion and alignment therapy).
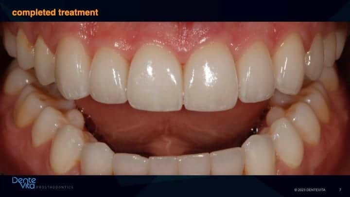
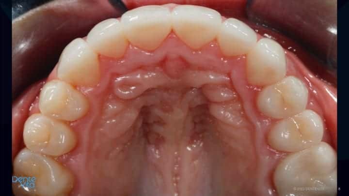
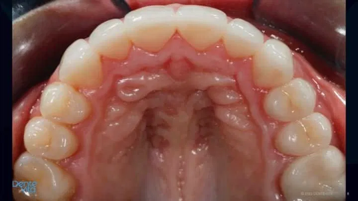
After completion of successful orthodontic therapy, missing tooth structure was rehabilitated/restored with conservative 360 degree and three-quarter porcelain veneer therapy, along with posterior occlusal partial coverage onlay restorations.
Photos of the patients original smile taken prior to the damage caused from erosion/wear were utilized to help design correct tooth form, dimensions and color characteristics of the definitive aesthetic and functional restorations.












