Case Study Details
Posterior; Tooth Supported Bridge (Fixed Partial Denture)
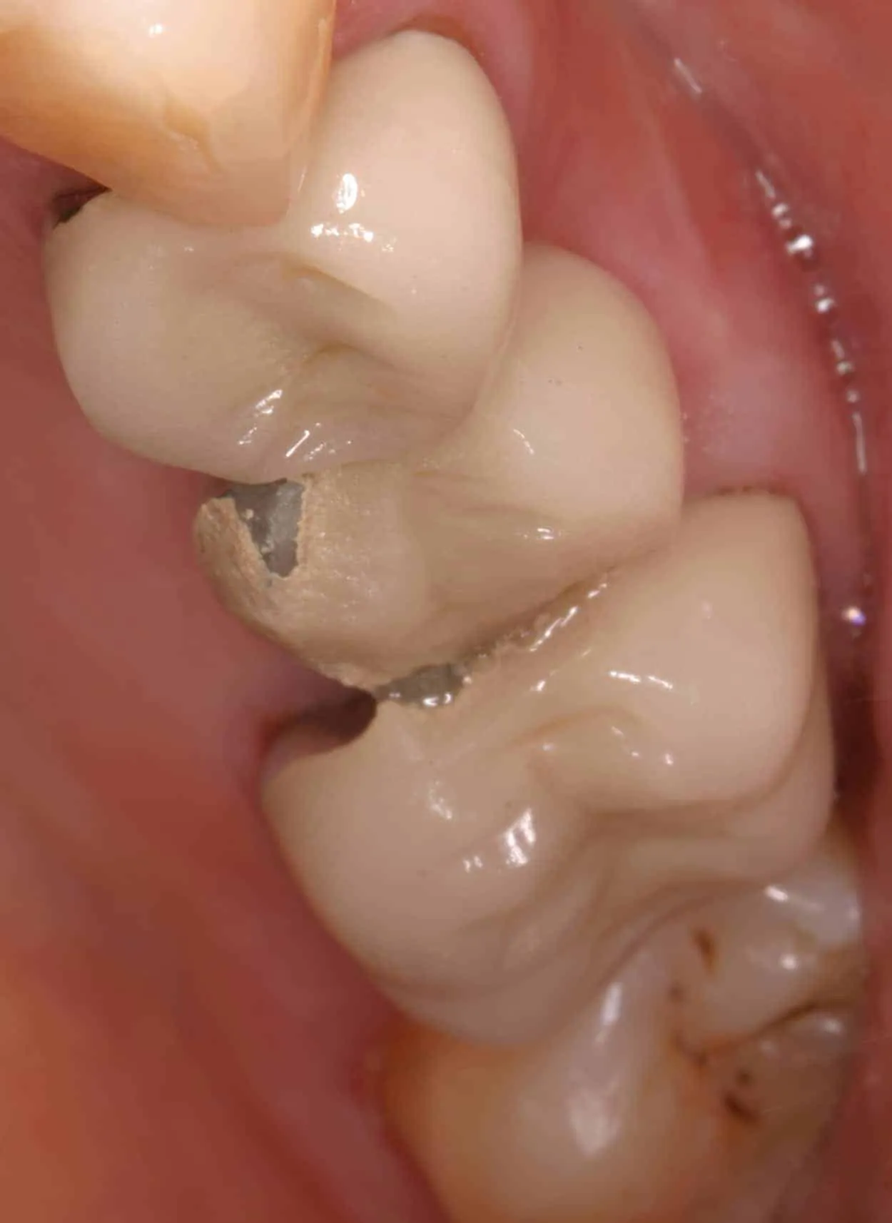
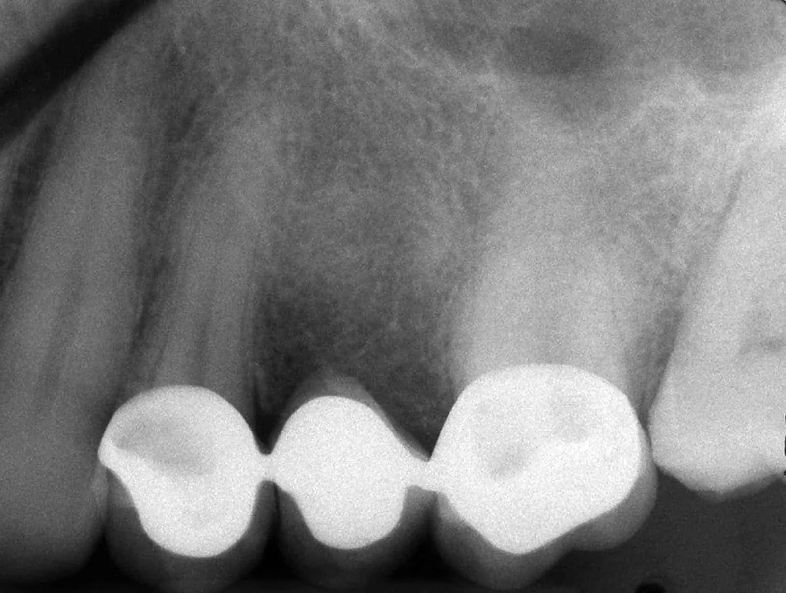
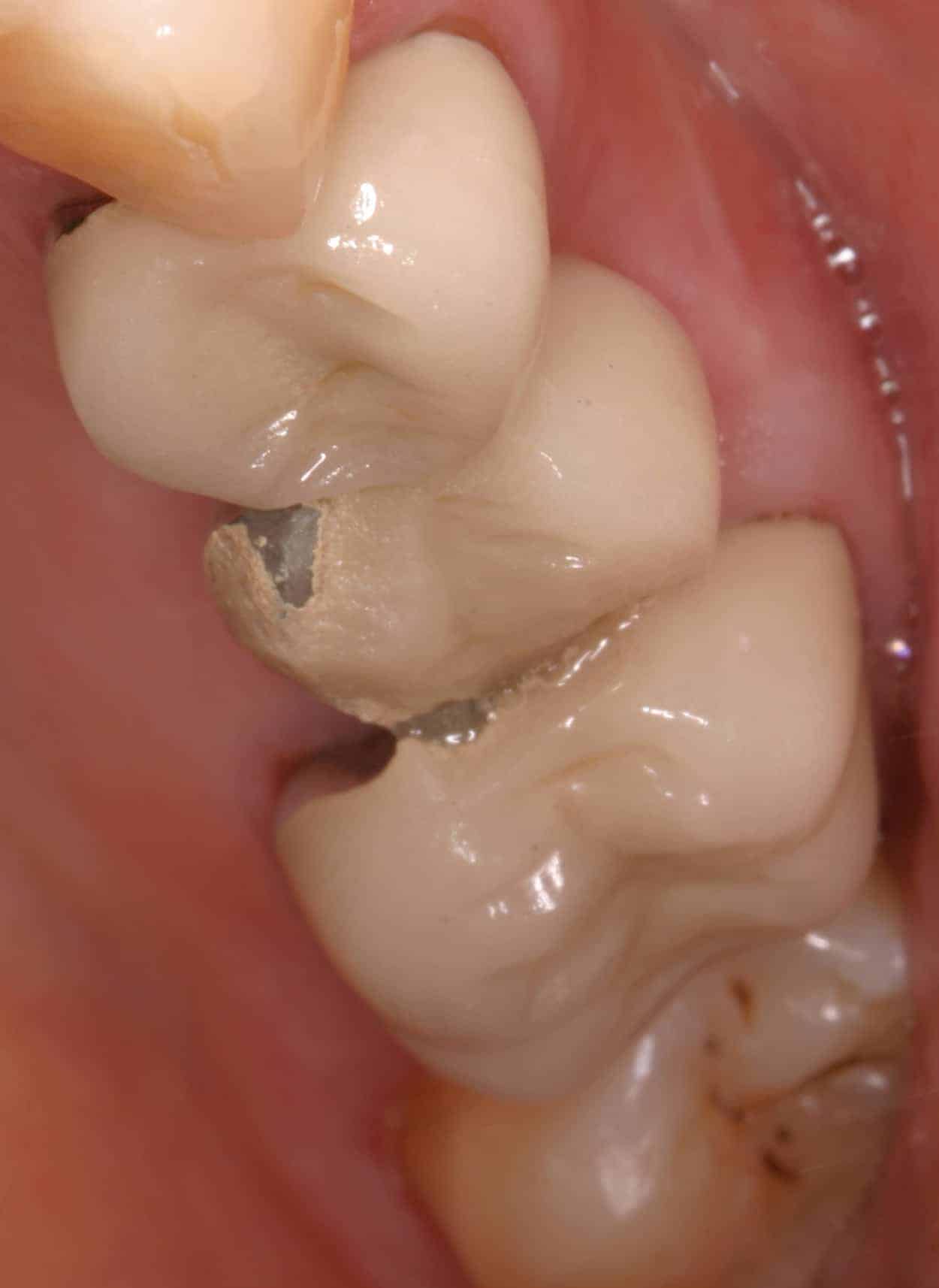
Before:Â Failed upper posterior three-unit bridge. Tooth #14 (upper left first molar) requires root canal therapy. Ideal candidate for a single dental implant to replace missing tooth #13 (upper left second premolar) and two single crowns on abutment/support teeth 12 (upper left first premolar) and 14. However, the patient is not interested in implant therapy and would like revision crown and bridge (fixed partial denture) therapy.
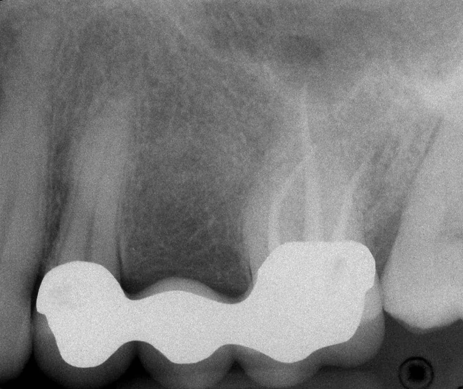
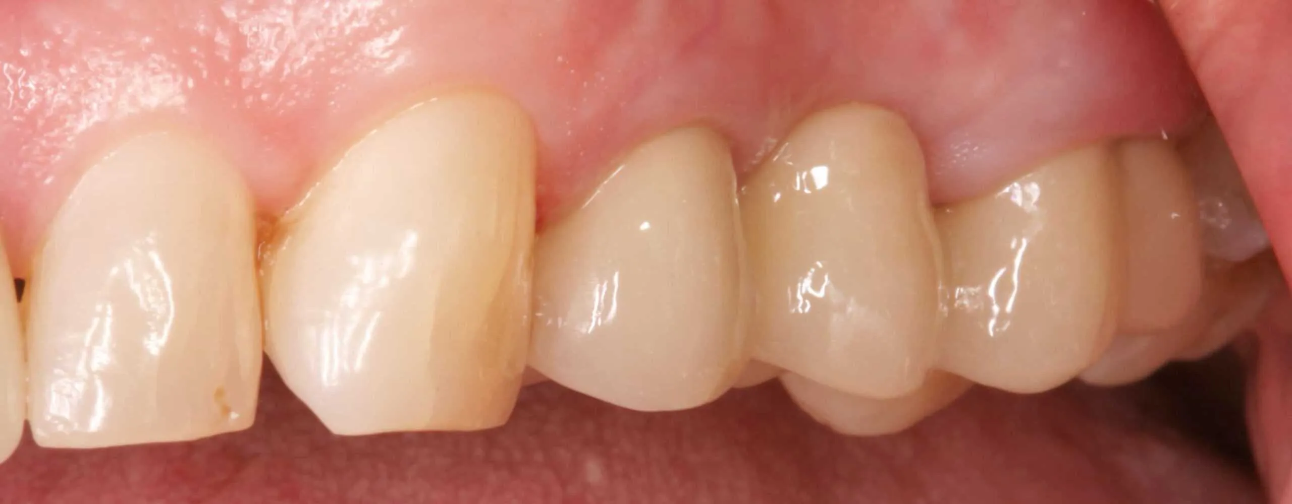
After:Â Revision crown and bridge therapy. Tooth #14 was carious and required root canal therapy and a build-up (foundation restoration) prior to definitive bridge therapy. Three-unit fixed partial denture (bridge), porcelain fused to gold, abutment teeth 12 and 14.




