Case Study Details
Complete Denture Revision Therapy
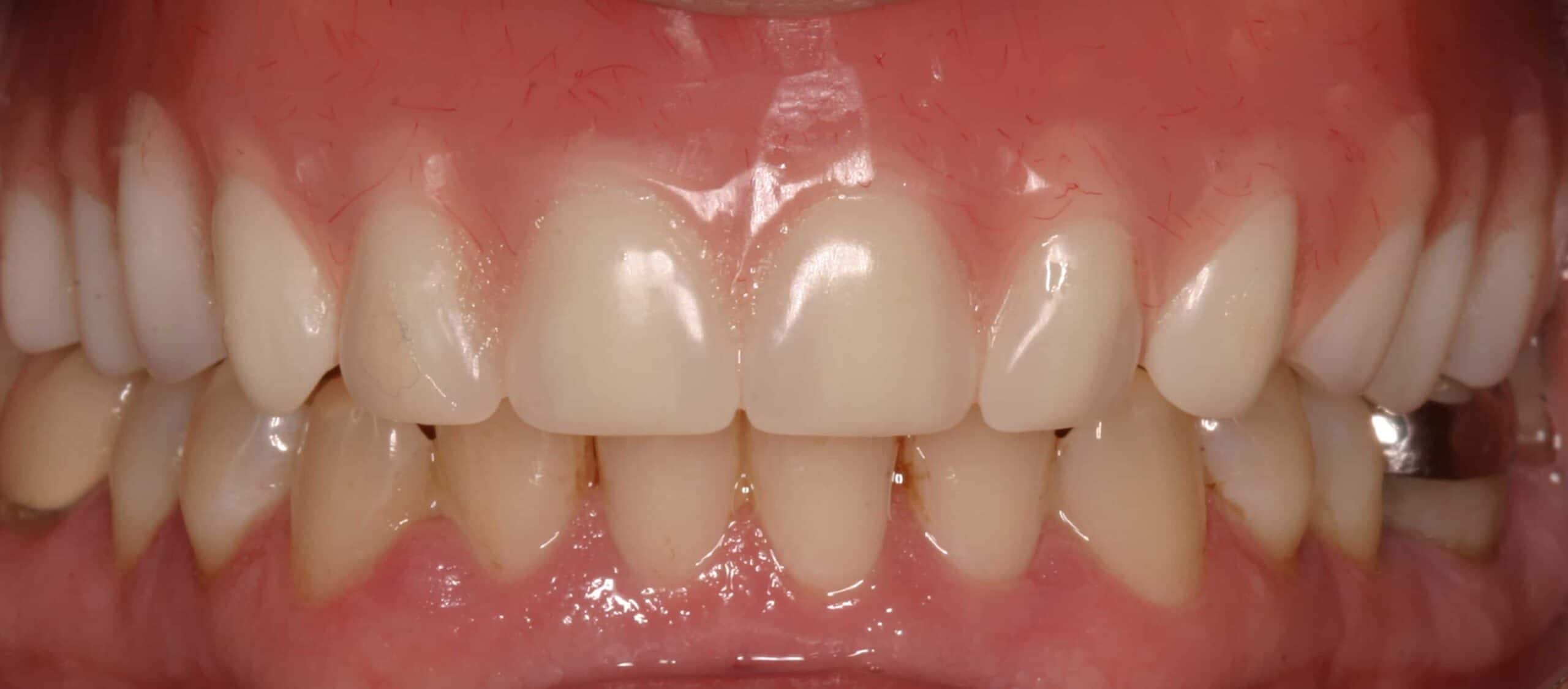
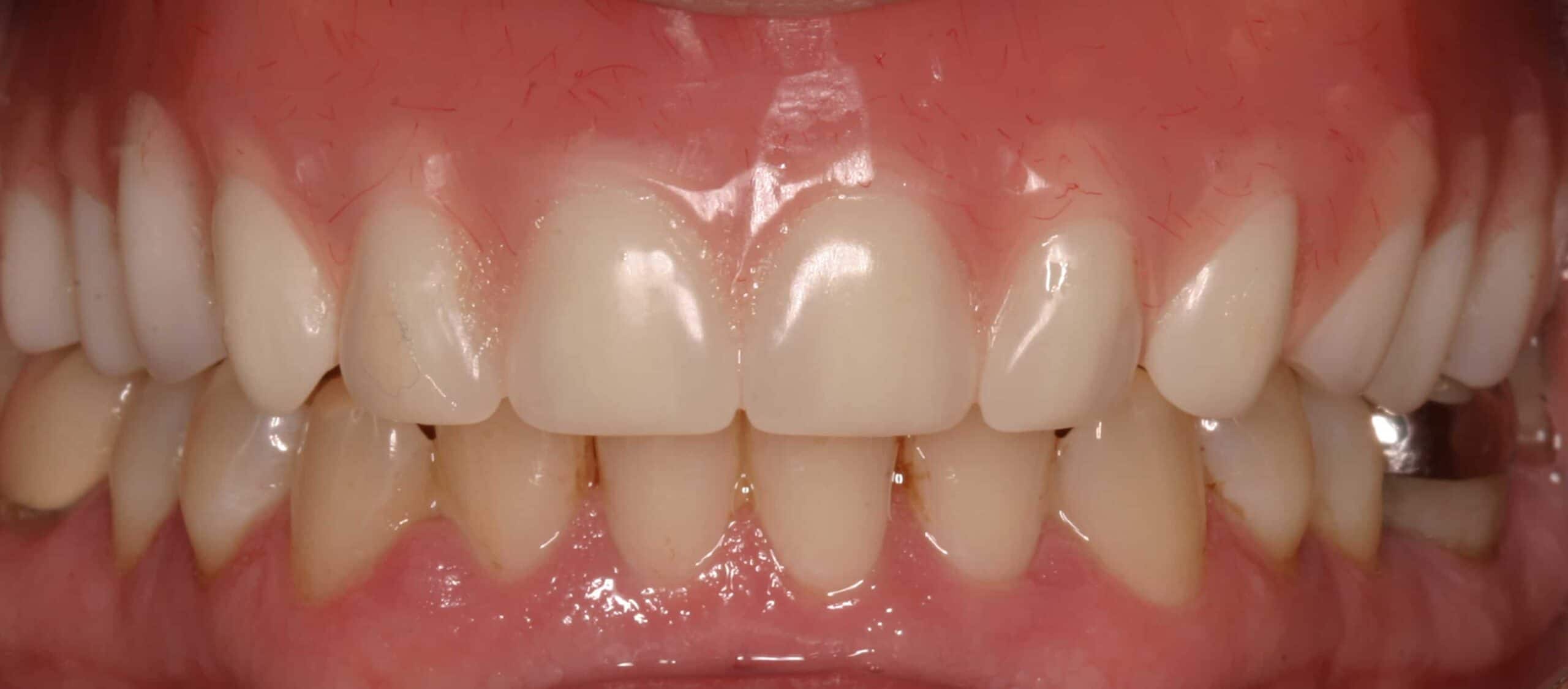
Before:Â Patient presented with a recently constructed unsatisfactory upper complete denture from a discount dental provider. Esthetics was unsatisfactory and wearing functioning with the denture proved impossible.
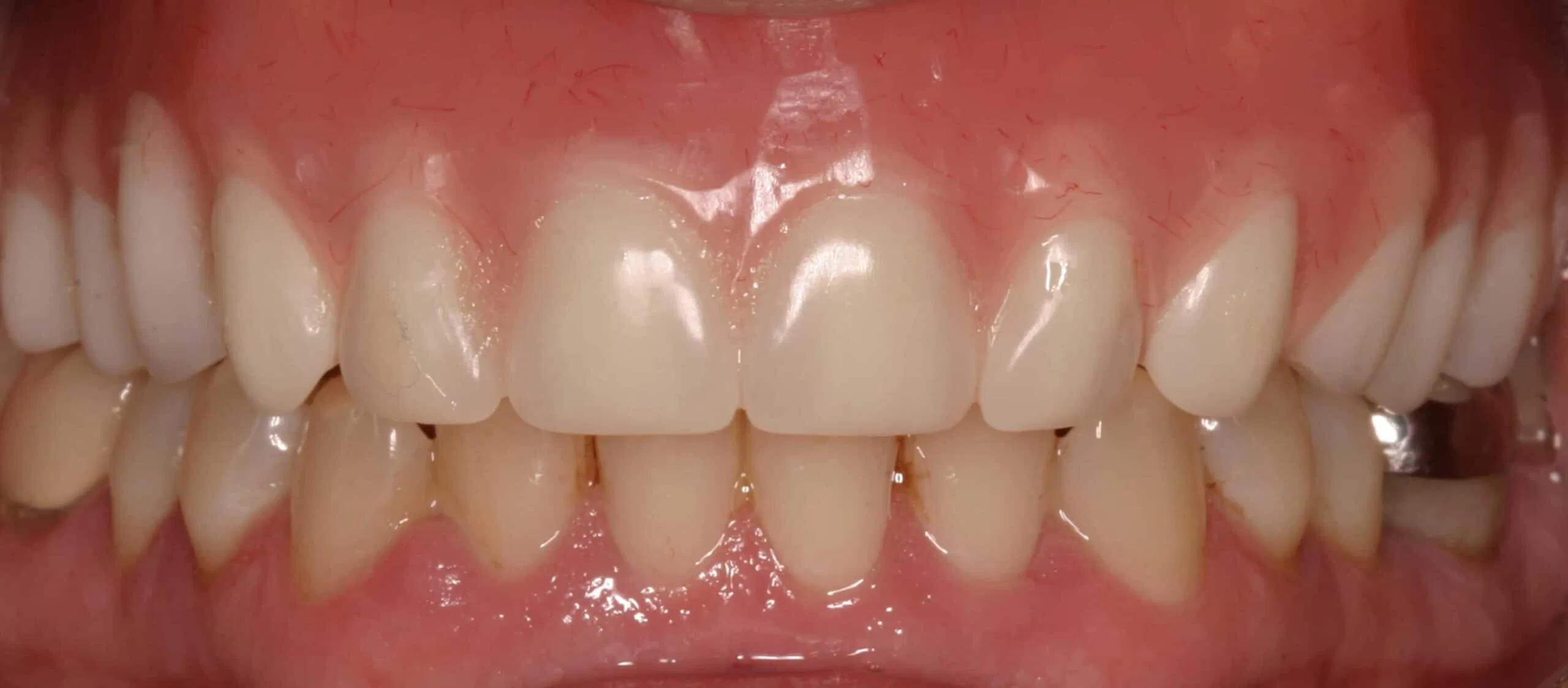
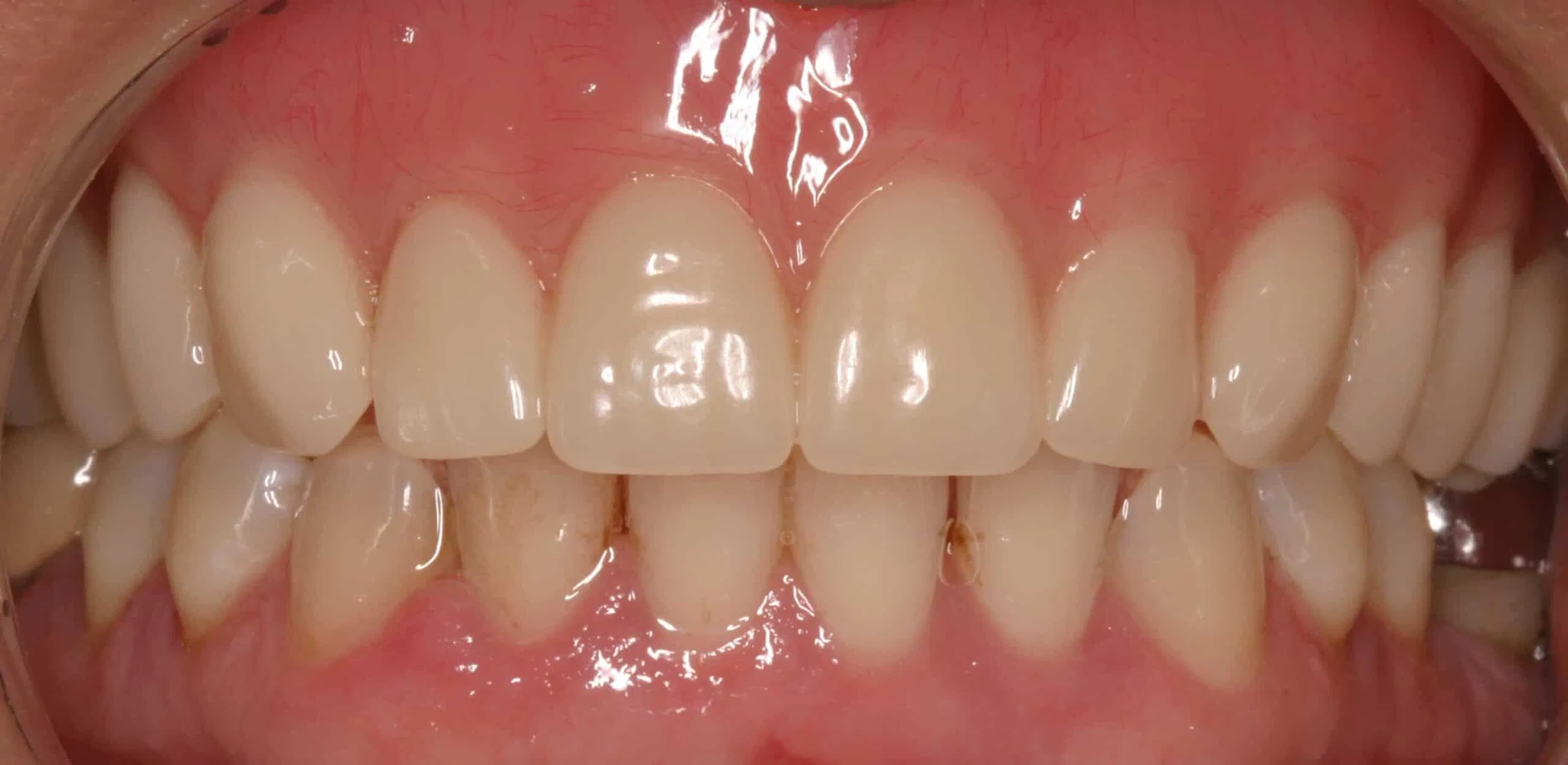
After: Treatment was performed to construct and deliver a revised, functional and aesthetic complete denture. Comfort, mastication and patient’s self-esteem were returned.




