Case Study Details
(Full Mouth Reconstruction/Rehabilitation; Increased Occlusal Vertical Dimension; Ceramo-metal Crowns; Implant Crowns; Implant Bridges (Fixed Partial Dentures))
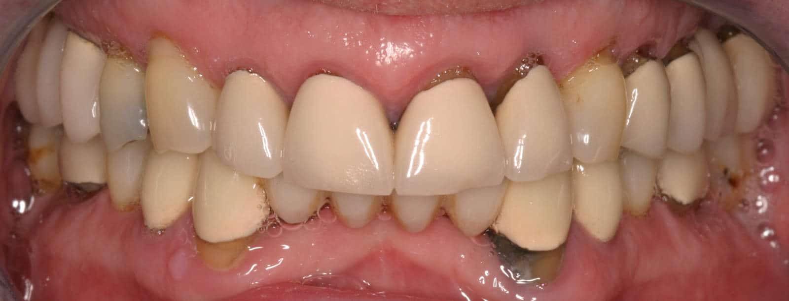
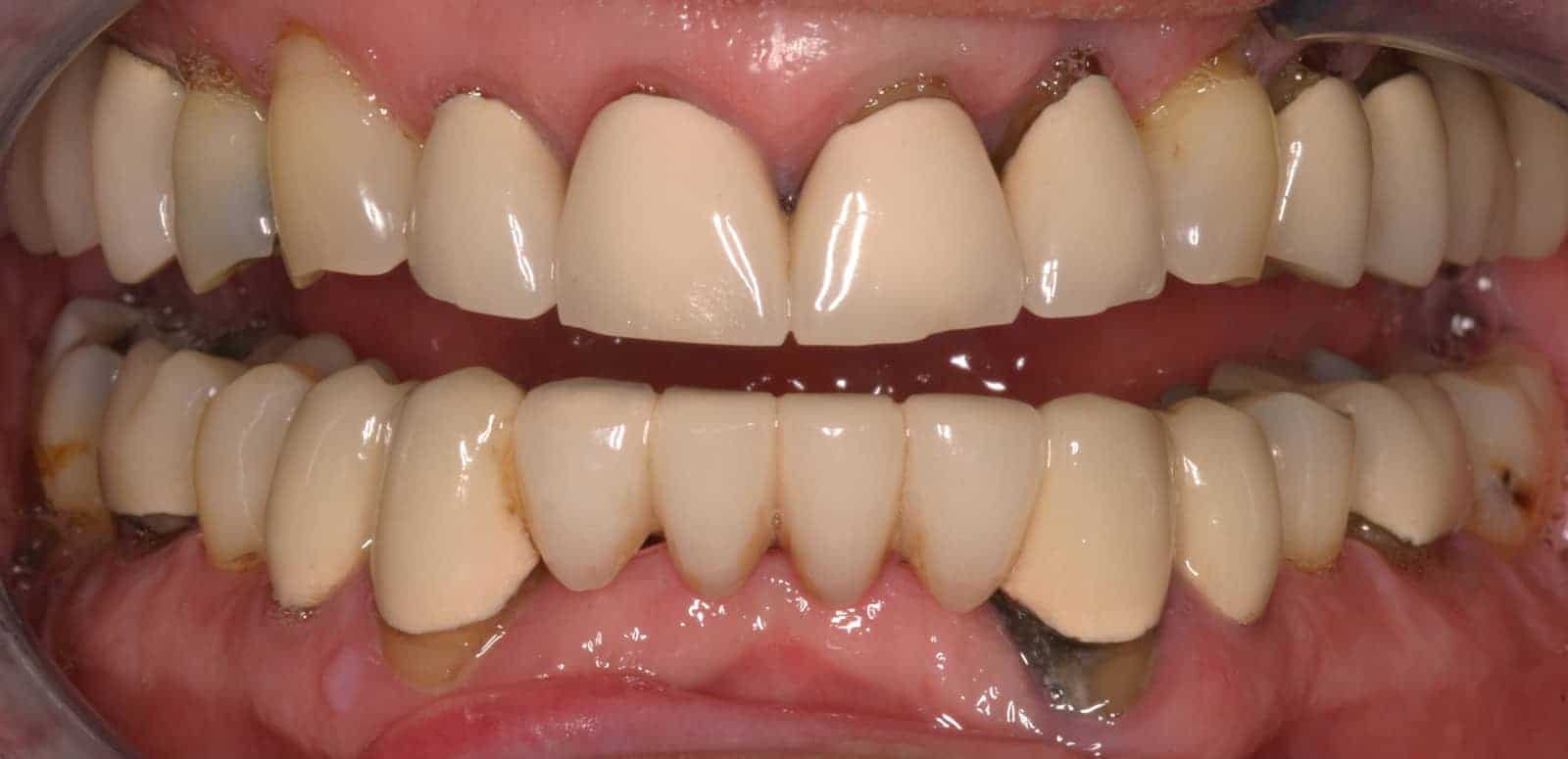
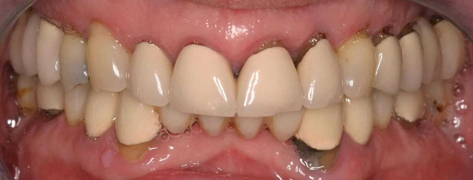
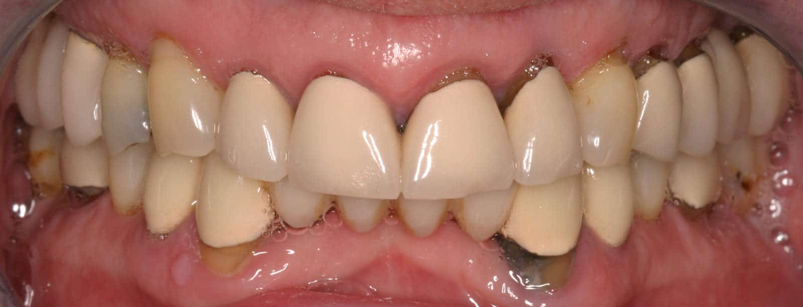
Before:Â History of significant dental treatment. Generalized worn, broken down restorations. Localized disease. Several failed teeth requiring removal.
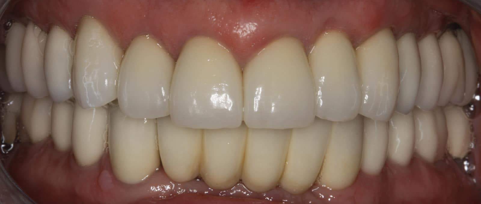
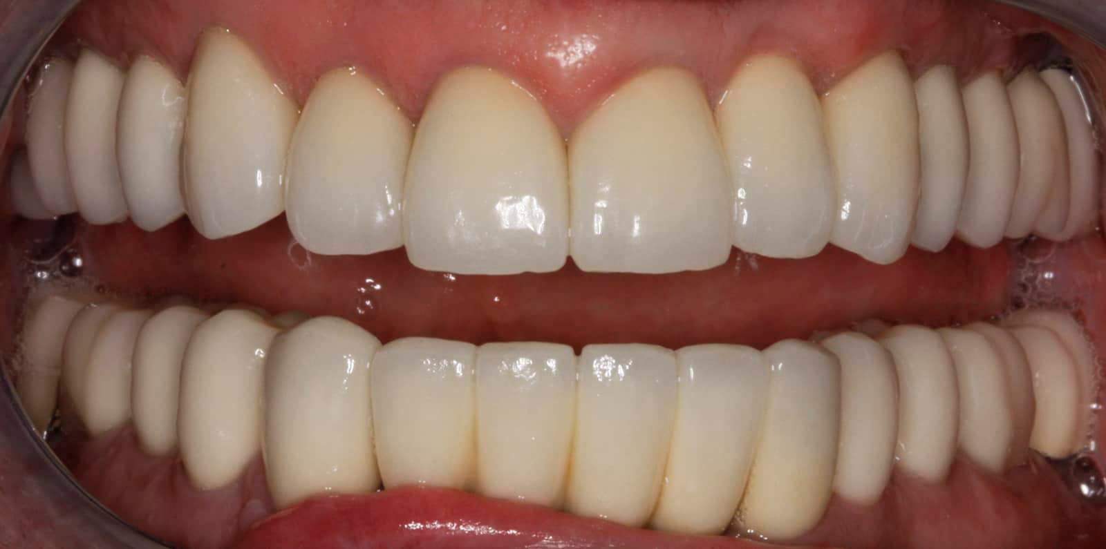
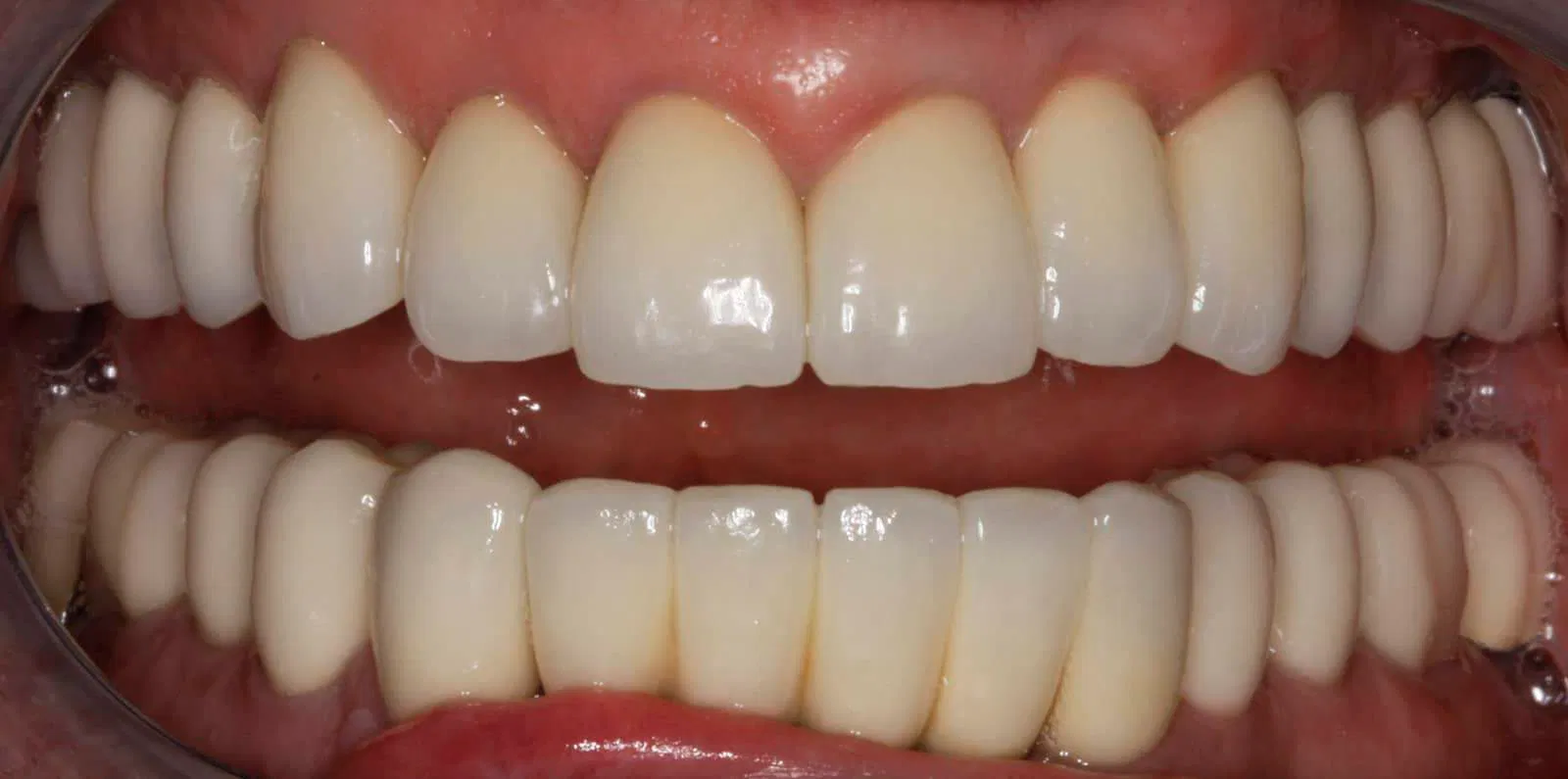
After:Â Complete upper and lower rehabilitation, with teeth and multiple dental implants supporting individual full coverage crowns and implant supported bridges. A complete transformation; improving both function and aesthetics.






